Cookie preferences
This website uses cookies, which are necessary for the technical operation of the website and are always set. Other cookies, which increase the comfort when using this website, are used for direct advertising or to facilitate interaction with other websites and social networks, are only set with your consent.
Configuration
Technically required
These cookies are necessary for the basic functions of the shop.
"Allow all cookies" cookie
"Decline all cookies" cookie
CSRF token
Cookie preferences
Currency change
Customer-specific caching
FACT-Finder tracking
Individual prices
Selected shop
Session
Comfort functions
These cookies are used to make the shopping experience even more appealing, for example for the recognition of the visitor.
Note
Show the facebook fanpage in the right blod sidebar
Statistics & Tracking
Affiliate program
Conversion and usertracking via Google Tag Manager
Track device being used
| Item number | Size | Datasheet | Manual | SDS | Delivery time | Quantity | Price |
|---|---|---|---|---|---|---|---|
| NSJ-R31920 | 100 µg | - | - |
3 - 10 business days* |
790.00€
|
If you have any questions, please use our Contact Form.
You can also order by e-mail: info@biomol.com
Larger quantity required? Request bulk
You can also order by e-mail: info@biomol.com
Larger quantity required? Request bulk
0.5mg/ml if reconstituted with 0.2ml sterile DI water. Cytokeratin 19, also called Keratin 19 and... more
Product information "Anti-Cytokeratin 19"
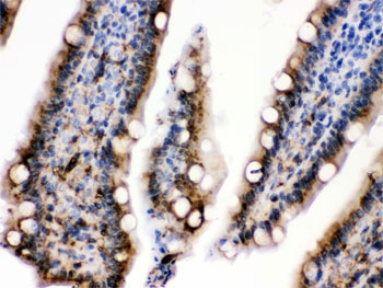
0.5mg/ml if reconstituted with 0.2ml sterile DI water. Cytokeratin 19, also called Keratin 19 and CK19, is a protein that in humans is encoded by the KRT19 gene. The protein encoded by this gene is a member of the keratin family. It is specifically expressed in the periderm, the transiently superficial layer that envelops the developing epidermis. The type I cytokeratins are clustered in a region of chromosome 17q12-q21. Due to its high sensitivity, CK19 is the most used marker for the RT-PCR-mediated detection of tumor cells disseminated in lymph nodes, peripheral blood, and bone marrow of breast cancer patients. Keratin 19 is often used together with keratin 8 and keratin 18 to differentiate cells of epithelial origin from hematopoietic cells in tests that enumerate circulating tumor cells in blood. Protein function: Involved in the organization of myofibers. Together with KRT8, helps to link the contractile apparatus to dystrophin at the costameres of striated muscle. [The UniProt Consortium]
| Keywords: | Anti-K19, Anti-KRT19, Anti-CK-19, Anti-Keratin-19, Anti-Cytokeratin-19, Anti-Keratin, type I cytoskeletal 19, Cytokeratin 19 Antibody |
| Supplier: | NSJ Bioreagents |
| Supplier-Nr: | R31920 |
Properties
| Application: | WB, IHC (paraffin) |
| Antibody Type: | Polyclonal |
| Conjugate: | No |
| Host: | Rabbit |
| Species reactivity: | human, mouse, rat |
| Immunogen: | Amino acids QLAHIQALISGIEAQLGDVRADSERQNQEYQRLMDIKSR of human KRT19 were used as the immunogen for the CK19 antibody. |
| Format: | Purified |
Database Information
| KEGG ID : | K07604 | Matching products |
| UniProt ID : | P08727 | Matching products |
| Gene ID : | GeneID 3880 | Matching products |
Handling & Safety
| Storage: | -20°C |
| Shipping: | -20°C (International: -20°C) |
Caution
Our products are for laboratory research use only: Not for administration to humans!
Our products are for laboratory research use only: Not for administration to humans!
Information about the product reference will follow.
more
You will get a certificate here
Viewed