Cookie preferences
This website uses cookies, which are necessary for the technical operation of the website and are always set. Other cookies, which increase the comfort when using this website, are used for direct advertising or to facilitate interaction with other websites and social networks, are only set with your consent.
Configuration
Technically required
These cookies are necessary for the basic functions of the shop.
"Allow all cookies" cookie
"Decline all cookies" cookie
CSRF token
Cookie preferences
Currency change
Customer-specific caching
FACT-Finder tracking
Individual prices
Selected shop
Session
Comfort functions
These cookies are used to make the shopping experience even more appealing, for example for the recognition of the visitor.
Note
Show the facebook fanpage in the right blod sidebar
Statistics & Tracking
Affiliate program
Conversion and usertracking via Google Tag Manager
Track device being used
| Item number | Size | Datasheet | Manual | SDS | Delivery time | Quantity | Price |
|---|---|---|---|---|---|---|---|
| NSJ-V2680-20UG | 20 µg | - | - |
3 - 10 business days* |
375.00€
|
||
| NSJ-V2680-100UG | 100 µg | - | - |
3 - 10 business days* |
810.00€
|
If you have any questions, please use our Contact Form.
You can also order by e-mail: info@biomol.com
Larger quantity required? Request bulk
You can also order by e-mail: info@biomol.com
Larger quantity required? Request bulk
0.2 mg/ml with 0.1 mg/ml BSA (US sourced), 0.05% sodium azide. This mAb reacts with the rod... more
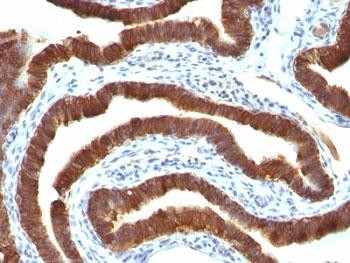
Product information "Anti-Cytokeratin 19 (CK19, KRT19), clone Ks19.1"
0.2 mg/ml with 0.1 mg/ml BSA (US sourced), 0.05% sodium azide. This mAb reacts with the rod domain of human cytokeratin-19 (CK19), a polypeptide of 40kDa. Its epitope maps between amino acid 312-335. CK19 is expressed in sweat gland, mammary gland ductal and secretory cells, bile ducts, gastrointestinal tract, bladder urothelium, oral epithelia, esophagus, and ectocervical epithelium. Anti-CK19 reacts with a wide variety of epithelial malignancies including adenocarcinomas of the colon, stomach, pancreas, biliary tract, liver, and breast. Perhaps the most useful application is the identification of thyroid carcinoma of the papillary type, although 50%-60% of follicular carcinomas are also labeled. Anti-CK19 is a useful marker for detection of tumor cells in lymph nodes, peripheral blood, bone marrow and breast cancer. Protein function: Involved in the organization of myofibers. Together with KRT8, helps to link the contractile apparatus to dystrophin at the costameres of striated muscle. [The UniProt Consortium]
| Keywords: | Anti-K19, Anti-KRT19, Anti-CK-19, Anti-Keratin-19, Anti-Cytokeratin-19, Anti-Keratin, type I cytoskeletal 19, Cytokeratin 19 Antibody (CK19, KRT19) |
| Supplier: | NSJ Bioreagents |
| Supplier-Nr: | V2680 |
Properties
| Application: | FC, IF, IHC (paraffin) |
| Antibody Type: | Monoclonal |
| Clone: | Ks19.1 |
| Conjugate: | No |
| Host: | Mouse |
| Species reactivity: | human |
| Immunogen: | Human breast cancer MCF-7 cells |
| Format: | Purified |
Database Information
| KEGG ID : | K07604 | Matching products |
| UniProt ID : | P08727 | Matching products |
| Gene ID : | GeneID 3880 | Matching products |
Handling & Safety
| Storage: | +4°C |
| Shipping: | +4°C (International: +4°C) |
Caution
Our products are for laboratory research use only: Not for administration to humans!
Our products are for laboratory research use only: Not for administration to humans!
Information about the product reference will follow.
more
You will get a certificate here
Viewed