Cookie preferences
This website uses cookies, which are necessary for the technical operation of the website and are always set. Other cookies, which increase the comfort when using this website, are used for direct advertising or to facilitate interaction with other websites and social networks, are only set with your consent.
Configuration
Technically required
These cookies are necessary for the basic functions of the shop.
"Allow all cookies" cookie
"Decline all cookies" cookie
CSRF token
Cookie preferences
Currency change
Customer-specific caching
FACT-Finder tracking
Individual prices
Selected shop
Session
Comfort functions
These cookies are used to make the shopping experience even more appealing, for example for the recognition of the visitor.
Note
Show the facebook fanpage in the right blod sidebar
Statistics & Tracking
Affiliate program
Conversion and usertracking via Google Tag Manager
Track device being used
| Item number | Size | Datasheet | Manual | SDS | Delivery time | Quantity | Price |
|---|---|---|---|---|---|---|---|
| NSJ-FY12795 | 100 µg | - | - |
3 - 10 business days* |
790.00€
|
If you have any questions, please use our Contact Form.
You can also order by e-mail: info@biomol.com
Larger quantity required? Request bulk
You can also order by e-mail: info@biomol.com
Larger quantity required? Request bulk
Adding 0.2 ml of distilled water will yield a concentration of 500 ug/ml. CYP7B1 antibody detects... more
Product information "Anti-CYP7B1 / 25-hydroxycholesterol 7-alpha-hydroxylase"
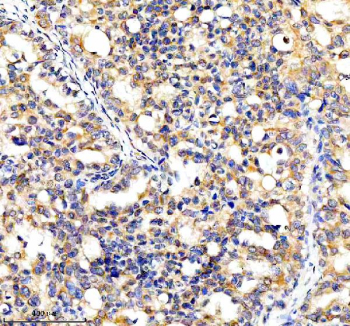
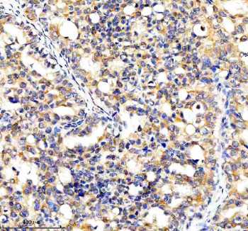
Adding 0.2 ml of distilled water will yield a concentration of 500 ug/ml. CYP7B1 antibody detects 25-hydroxycholesterol 7-alpha-hydroxylase, a cytochrome P450 enzyme that catalyzes the hydroxylation of oxysterols and steroids, contributing to bile acid synthesis and cholesterol homeostasis. Encoded by the CYP7B1 gene on chromosome 8q12.3, this microsomal monooxygenase regulates the alternative bile acid synthesis pathway by converting oxysterols such as 25-hydroxycholesterol and dehydroepiandrosterone (DHEA) into hydroxylated metabolites. CYP7B1 plays a key role in maintaining sterol balance and modulating neurosteroid and androgen metabolism.Localized to the endoplasmic reticulum membrane, CYP7B1 uses NADPH-cytochrome P450 reductase as an electron donor for hydroxylation reactions. It is highly expressed in liver, brain, and steroidogenic tissues, where it contributes to both cholesterol catabolism and neuroactive steroid metabolism. By regulating oxysterol levels, CYP7B1 influences liver lipid homeostasis and protects against cholesterol accumulation and neurotoxicity.The CYP7B1 antibody is widely used in metabolism, neurobiology, and endocrinology research to study bile acid biosynthesis, cholesterol turnover, and steroid regulation. Western blot analysis detects a 55 kilodalton band corresponding to CYP7B1, while immunofluorescence reveals endoplasmic reticulum localization in hepatocytes and neurons. This antibody provides a means to assess CYP7B1 expression under physiological and pathological conditions, including liver disease and metabolic disorders.Mutations in CYP7B1 cause hereditary spastic paraplegia type 5A and neonatal cholestasis, demonstrating the enzyme's essential role in cholesterol detoxification and neuronal maintenance. Altered CYP7B1 expression has also been linked to atherosclerosis, Alzheimer's disease, and hormonal dysregulation. The CYP7B1 antibody supports research into cholesterol metabolism, neurosteroid synthesis, and disease pathophysiology. NSJ Bioreagents provides this antibody validated for its applications, ensuring reliable detection in metabolic and neurological studies.
| Keywords: | Anti-CYP7B1, Anti-Cytochrome P450 7B1, Anti-Oxysterol 7-alpha-hydroxylase, Anti-3-hydroxysteroid 7-alpha hydroxylase, Anti-24-hydroxycholesterol 7-alpha-hydroxylase, Anti-25/26-hydroxycholesterol 7-alpha-hydroxylase, CYP7B1 Antibody / 25-hydroxycholestero |
| Supplier: | NSJ Bioreagents |
| Supplier-Nr: | FY12795 |
Properties
| Application: | WB, IHC, FC, ELISA |
| Antibody Type: | Polyclonal |
| Conjugate: | No |
| Host: | Rabbit |
| Species reactivity: | human, mouse, rat |
| Immunogen: | E.coli-derived human CYP7B1 recombinant protein (Position: Q127-D391) |
| Format: | Purified |
Database Information
| KEGG ID : | K07430 | Matching products |
| UniProt ID : | O75881 | Matching products |
| Gene ID : | GeneID 9420 | Matching products |
Handling & Safety
| Storage: | +4°C |
| Shipping: | +4°C (International: +4°C) |
Caution
Our products are for laboratory research use only: Not for administration to humans!
Our products are for laboratory research use only: Not for administration to humans!
Information about the product reference will follow.
more
You will get a certificate here
Viewed