Cookie preferences
This website uses cookies, which are necessary for the technical operation of the website and are always set. Other cookies, which increase the comfort when using this website, are used for direct advertising or to facilitate interaction with other websites and social networks, are only set with your consent.
Configuration
Technically required
These cookies are necessary for the basic functions of the shop.
"Allow all cookies" cookie
"Decline all cookies" cookie
CSRF token
Cookie preferences
Currency change
Customer-specific caching
FACT-Finder tracking
Individual prices
Selected shop
Session
Comfort functions
These cookies are used to make the shopping experience even more appealing, for example for the recognition of the visitor.
Note
Show the facebook fanpage in the right blod sidebar
Statistics & Tracking
Affiliate program
Conversion and usertracking via Google Tag Manager
Track device being used
| Item number | Size | Datasheet | Manual | SDS | Delivery time | Quantity | Price |
|---|---|---|---|---|---|---|---|
| NSJ-RQ6585 | 100 µg | - | - |
3 - 10 business days* |
790.00€
|
If you have any questions, please use our Contact Form.
You can also order by e-mail: info@biomol.com
Larger quantity required? Request bulk
You can also order by e-mail: info@biomol.com
Larger quantity required? Request bulk
0.5mg/ml if reconstituted with 0.2ml sterile DI water. Peptidylprolyl isomerase E (cyclophilin... more
Product information "Anti-Cyclophilin E / PPIE, clone 7F2"
0.5mg/ml if reconstituted with 0.2ml sterile DI water. Peptidylprolyl isomerase E (cyclophilin E), also known as PPIE, is an enzyme which in humans is encoded by the PPIE gene on chromosome 1. The protein encoded by this gene is a member of the peptidyl-prolyl cis-trans isomerase (PPIase) family. PPIases catalyze the cis-trans isomerization of proline imidic peptide bonds in oligopeptides and accelerate the folding of proteins. This protein contains a highly conserved cyclophilin (CYP) domain as well as an RNA-binding domain. It was shown to possess PPIase and protein folding activities, and it also exhibits RNA-binding activity. Alternative splicing results in multiple transcript variants. A related pseudogene, which is also located on chromosome 1, has been identified. Protein function: Involved in pre-mRNA splicing as component of the spliceosome (PubMed:11991638, PubMed:28076346). Combines RNA-binding and PPIase activities (PubMed:8977107, PubMed:18258190, PubMed:20677832, PubMed:20460131). Binds mRNA and has a preference for single-stranded RNA molecules with poly-A and poly-U stretches, suggesting it binds to the poly(A)-region in the 3'-UTR of mRNA molecules (PubMed:8977107, PubMed:18258190, PubMed:20460131). Catalyzes the cis-trans isomerization of proline imidic peptide bonds in proteins (PubMed:8977107, PubMed:18258190, PubMed:20677832, PubMed:20541251). Inhibits KMT2A activity, this requires proline isomerase activity (PubMed:20677832, PubMed:20541251, PubMed:20460131). [The UniProt Consortium]
| Keywords: | Anti-PPIE, Anti-PPIase E, Anti-Rotamase E, Anti-Cyclophilin E, Anti-Cyclophilin-33, Anti-Peptidyl-prolyl cis-trans isomerase E, Cyclophilin E Antibody / PPIE |
| Supplier: | NSJ Bioreagents |
| Supplier-Nr: | RQ6585 |
Properties
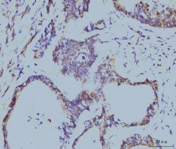
| Application: | WB, IHC (paraffin), IF, FC |
| Antibody Type: | Monoclonal |
| Clone: | 7F2 |
| Conjugate: | No |
| Host: | Mouse |
| Species reactivity: | human, mouse, rat |
| Immunogen: | recombinant human protein (amino acids M1-V301) |
| Format: | Purified |
Database Information
| KEGG ID : | K09564 | Matching products |
| UniProt ID : | Q9UNP9 | Matching products |
| Gene ID : | GeneID 10450 | Matching products |
Handling & Safety
| Storage: | +4°C |
| Shipping: | +4°C (International: +4°C) |
Caution
Our products are for laboratory research use only: Not for administration to humans!
Our products are for laboratory research use only: Not for administration to humans!
Information about the product reference will follow.
more
You will get a certificate here
Viewed