Anti-Cyclophilin E / PPIE, clone 4I9

Item number Size Datasheet Manual SDS Delivery time Quantity Price
NSJ-RQ6584 100 µg - -

3 - 10 business days*

790.00€
 
0.5mg/ml if reconstituted with 0.2ml sterile DI water. Peptidylprolyl isomerase E (cyclophilin... more
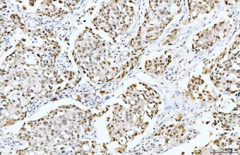
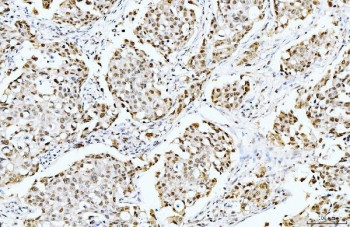
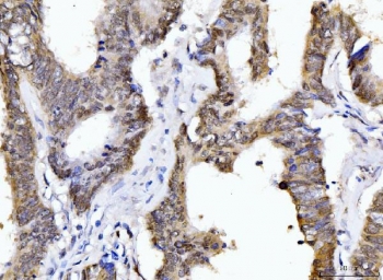
Product information "Anti-Cyclophilin E / PPIE, clone 4I9"
0.5mg/ml if reconstituted with 0.2ml sterile DI water. Peptidylprolyl isomerase E (cyclophilin E), also known as PPIE, is an enzyme which in humans is encoded by the PPIE gene on chromosome 1. The protein encoded by this gene is a member of the peptidyl-prolyl cis-trans isomerase (PPIase) family. PPIases catalyze the cis-trans isomerization of proline imidic peptide bonds in oligopeptides and accelerate the folding of proteins. This protein contains a highly conserved cyclophilin (CYP) domain as well as an RNA-binding domain. It was shown to possess PPIase and protein folding activities, and it also exhibits RNA-binding activity. Alternative splicing results in multiple transcript variants. A related pseudogene, which is also located on chromosome 1, has been identified. Protein function: Involved in pre-mRNA splicing as component of the spliceosome (PubMed:11991638, PubMed:28076346). Combines RNA-binding and PPIase activities (PubMed:8977107, PubMed:18258190, PubMed:20677832, PubMed:20460131). Binds mRNA and has a preference for single-stranded RNA molecules with poly-A and poly-U stretches, suggesting it binds to the poly(A)-region in the 3'-UTR of mRNA molecules (PubMed:8977107, PubMed:18258190, PubMed:20460131). Catalyzes the cis-trans isomerization of proline imidic peptide bonds in proteins (PubMed:8977107, PubMed:18258190, PubMed:20677832, PubMed:20541251). Inhibits KMT2A activity, this requires proline isomerase activity (PubMed:20677832, PubMed:20541251, PubMed:20460131). [The UniProt Consortium]
Keywords: Anti-PPIE, Anti-PPIase E, Anti-Rotamase E, Anti-Cyclophilin E, Anti-Cyclophilin-33, Anti-Peptidyl-prolyl cis-trans isomerase E, Cyclophilin E Antibody / PPIE
Supplier: NSJ Bioreagents
Supplier-Nr: RQ6584

Properties

Application: WB, IHC (paraffin), IF, FC
Antibody Type: Monoclonal
Clone: 4I9
Conjugate: No
Host: Mouse
Species reactivity: human, mouse, rat
Immunogen: recombinant human protein (amino acids M1-V301)
Format: Purified

Handling & Safety

Storage: +4°C
Shipping: +4°C (International: +4°C)
Caution
Our products are for laboratory research use only: Not for administration to humans!
You will get a certificate here
or to request a certificate of analysis.
Read, write and discuss reviews... more
Customer review for "Anti-Cyclophilin E / PPIE, clone 4I9"
Write a review
or to review a product.
Viewed