Anti-CS

Item number Size Datasheet Manual SDS Delivery time Quantity Price
ATA-HPA038460.25 25 µl -

7 - 10 business days*

369.00€
ATA-HPA038460.100 100 µl -

7 - 10 business days*

491.00€
 
Buffer: 40% glycerol and PBS (pH 7.2). 0.02% sodium azide is added as preservative. Highest... more
Product information "Anti-CS"
Buffer: 40% glycerol and PBS (pH 7.2). 0.02% sodium azide is added as preservative. Highest antigen sequence identity to mouse: 98% and to rat: 97%
Keywords: Anti-CS, EC=2.3.3.1, Anti-Citrate (Si)-synthase, Anti-Citrate synthase, mitochondrial
Supplier: Atlas Antibodies
Supplier-Nr: HPA038460

Properties

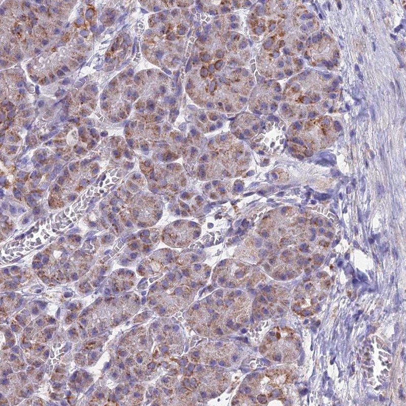
Application: ICC, IHC
Antibody Type: Polyclonal
Conjugate: No
Host: Rabbit
Species reactivity: human
Immunogen: Recombinant Protein Epitope Signature Tag (PrEST) antigen sequence: LDWSHNFTNM LGYTDHQFTE LTRLYLTIHS DHEGGNVSAH TSHLVGSALS DPYLSFAAAM NGLAGPLHGL ANQEVLVWLT QLQKEVGKDV S (ATA-APrEST80948)

Database Information

KEGG ID : K01647 | Matching products
UniProt ID : O75390 | Matching products
Gene ID : GeneID 1431 | Matching products
Protein Atlas Nr. : ENSG00000062485

Handling & Safety

Storage: -20°C
Shipping: +20°C (International: +20°C)
Caution
Our products are for laboratory research use only: Not for administration to humans!
You will get a certificate here
or to request a certificate of analysis.
Read, write and discuss reviews... more
Customer review for "Anti-CS"
Write a review
or to review a product.
Viewed