This website uses cookies, which are necessary for the technical operation of the website and are always set. Other cookies, which increase the comfort when using this website, are used for direct advertising or to facilitate interaction with other websites and social networks, are only set with your consent.
Configuration
Technically required
These cookies are necessary for the basic functions of the shop.
"Allow all cookies" cookie
"Decline all cookies" cookie
CSRF token
Cookie preferences
Currency change
Customer-specific caching
FACT-Finder tracking
Individual prices
Selected shop
Session
Comfort functions
These cookies are used to make the shopping experience even more appealing, for example for the recognition of the visitor.
Note
Show the facebook fanpage in the right blod sidebar
Statistics & Tracking
Affiliate program
Conversion and usertracking via Google Tag Manager
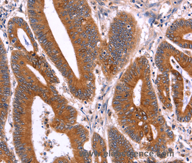
Cysteine-rich secretory proteins (CRISPs) represent a family of evolutionarily conserved proteins which may play a role in the innate immune system and are transcriptionally regulated by androgens in several tissues. AEG is a sperm surface protein involved in the fusion of egg and sperm. Although CRISP-1 (also designated AEG-like protein, ARP, cysteine-rich secretory protein-1 or AEG-related protein) is not the ortholog of rodent AEG, it resembles AEG in that it is an epididymal secretory glycoprotein that binds to the postacrosomal region of the sperm head. CRISP-1 coats the postacrosomal region of sperm heads as they pass through the epididymis. CRISP-1 is found in all regions of the epididymis, ductus deferens, seminal plasma and sperm. CRISP-3 is expressed in pancreas and prostate tissues and, along with CRISP-1, is expressed in saliva.
Keywords:
Anti-SGP28, Anti-CRISP3, Anti-CRISP-3, Anti-Cysteine-rich secretory protein 3, Anti-Specific granule protein of 28 kDa, CRISP3 Polyclonal Antibody
This website uses cookies, which are necessary for the technical operation of the website and are always set. Other cookies, which increase the usability of this website, serve for direct advertising or simplify interaction with other websites and social networks, will only be used with your consent.
More information