Anti-CRABP2

Item number Size Datasheet Manual SDS Delivery time Quantity Price
A300-809A-T 10 µl (2 µg) -

2 - 8 business days*

165.00€
A300-809A 100 µl -

2 - 8 business days*

586.00€
 
Protein function: Transports retinoic acid to the nucleus. Regulates the access of retinoic acid... more
Product information "Anti-CRABP2"
Protein function: Transports retinoic acid to the nucleus. Regulates the access of retinoic acid to the nuclear retinoic acid receptors. [The UniProt Consortium]
Keywords: Anti-CRABP2, Anti-CRABP-II, Anti-Cellular retinoic acid-binding protein 2, Anti-Cellular retinoic acid-binding protein II
Supplier: Bethyl Laboratories
Supplier-Nr: A300-809A

Properties

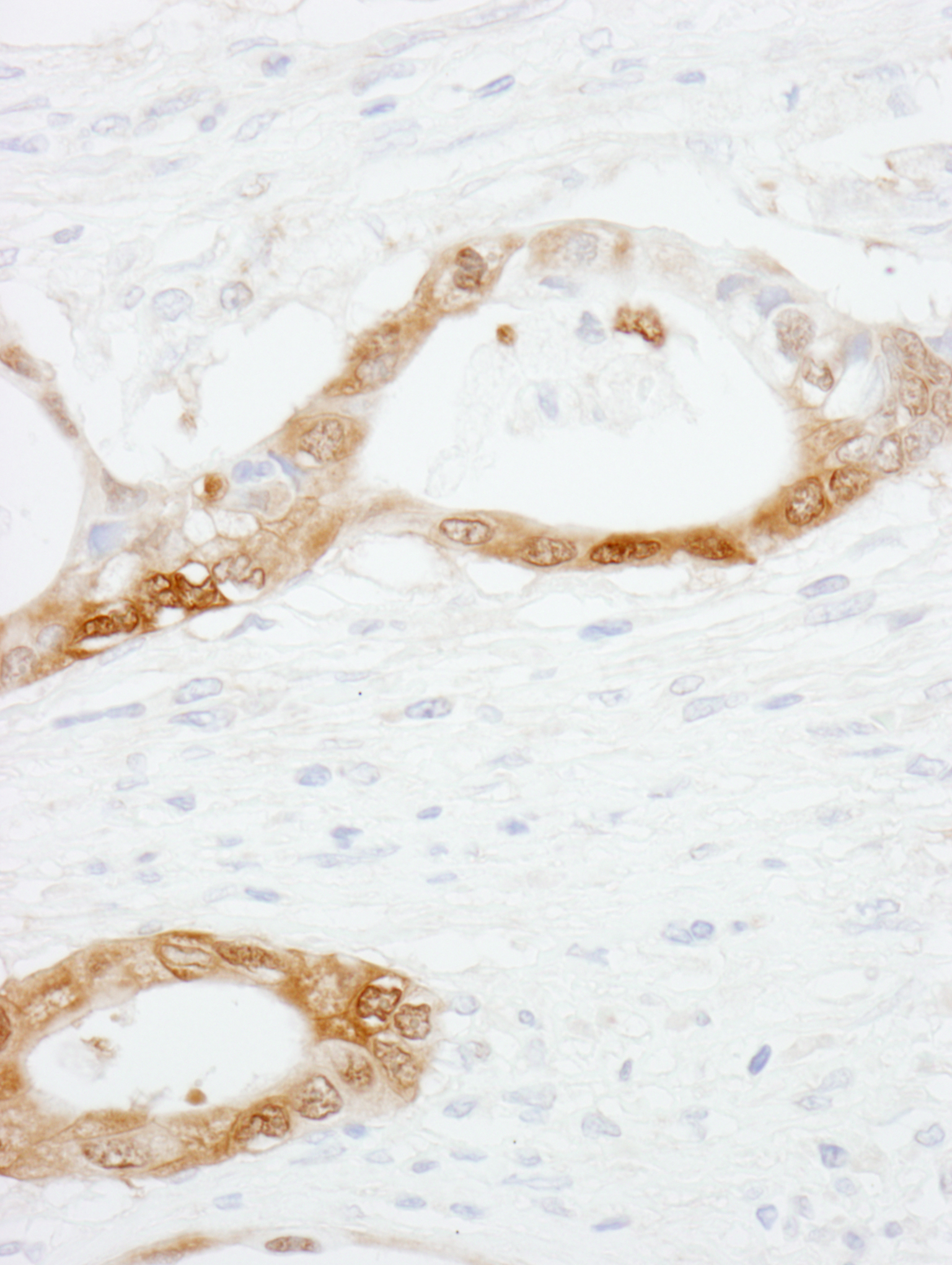
Application: WB, IP, IHC
Antibody Type: Polyclonal
Conjugate: No
Host: Rabbit
Species reactivity: human (Expected: guinea pig, orangutan, rhesus monkey, gorilla, chimpanzee, crab-eating macaque, african elephant, northern white-cheeked gibbon)
Immunogen: synthetic peptide. The epitope recognized by A300-809A-T maps to a region between residue 80 and the C-terminus (residue 138) of human Cellular Retinoic Acid Binding Protein 2 using the numbering given in entry NP_001869.1 (GeneID 1382 ).
Format: Antigen Affinity Purified

Handling & Safety

Storage: +4°C
Shipping: +4°C (International: +4°C)
Caution
Our products are for laboratory research use only: Not for administration to humans!
You will get a certificate here
or to request a certificate of analysis.
Read, write and discuss reviews... more
Customer review for "Anti-CRABP2"
Write a review
or to review a product.
Viewed