If you have any questions, please use our Contact Form.
You can also order by e-mail: info@biomol.com
Larger quantity required? Request bulk
You can also order by e-mail: info@biomol.com
Larger quantity required? Request bulk
Viewed
| Keywords: | Anti-Ptgs2, Anti-PES-2, Anti-COX-2, Anti-Cox-2, Anti-PHS II, Anti-PGHS-2, Anti-Gripghs, EC=1.14.99.1, Anti-TIS10 protein, Anti-PGH synthase 2, Anti-Cyclooxygenase-2, Anti-Prostaglandin H2 synthase 2, Anti-Prostaglandin G/H synthase 2, COX2 Polyclonal Anti |
| Supplier: | Elabscience |
| Supplier-Nr: | E-AB-70030 |
Properties
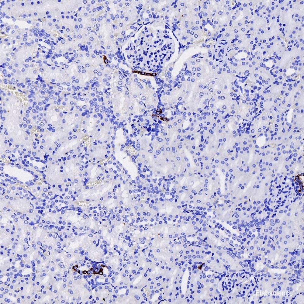
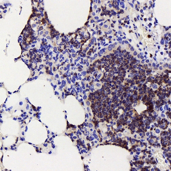
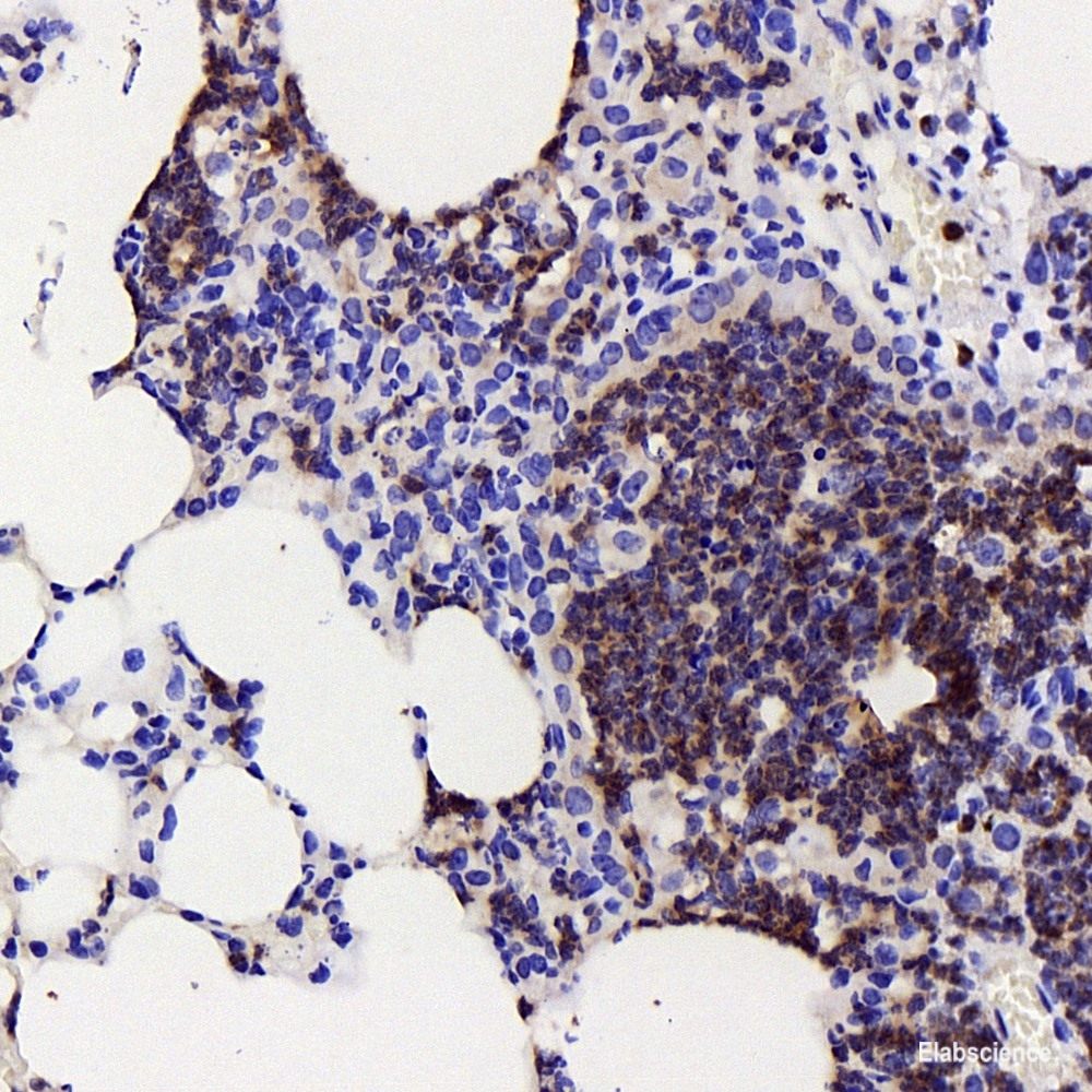
| Application: | IHC |
| Antibody Type: | Polyclonal |
| Conjugate: | No |
| Host: | Rabbit |
| Species reactivity: | mouse, rat |
| Immunogen: | KLH conjugated Synthetic peptide corresponding to Mouse COX2 |
Database Information
| KEGG ID : | K11987 | Matching products |
| UniProt ID : | Q05769 | Matching products |
| Gene ID : | GeneID 19225 | Matching products |
Handling & Safety
| Storage: | -20°C |
| Shipping: | 4°C (International: -20°C) |