Cookie preferences
This website uses cookies, which are necessary for the technical operation of the website and are always set. Other cookies, which increase the comfort when using this website, are used for direct advertising or to facilitate interaction with other websites and social networks, are only set with your consent.
Configuration
Technically required
These cookies are necessary for the basic functions of the shop.
"Allow all cookies" cookie
"Decline all cookies" cookie
CSRF token
Cookie preferences
Currency change
Customer-specific caching
FACT-Finder tracking
Individual prices
Selected shop
Session
Comfort functions
These cookies are used to make the shopping experience even more appealing, for example for the recognition of the visitor.
Note
Show the facebook fanpage in the right blod sidebar
Statistics & Tracking
Affiliate program
Conversion and usertracking via Google Tag Manager
Track device being used
| Item number | Size | Datasheet | Manual | SDS | Delivery time | Quantity | Price |
|---|---|---|---|---|---|---|---|
| NSJ-FY13313 | 100 µg | - | - |
3 - 10 business days* |
790.00€
|
If you have any questions, please use our Contact Form.
You can also order by e-mail: info@biomol.com
Larger quantity required? Request bulk
You can also order by e-mail: info@biomol.com
Larger quantity required? Request bulk
Adding 0.2 ml of distilled water will yield a concentration of 500 ug/ml. COQ8B antibody detects... more
Product information "Anti-COQ8B / Coenzyme Q8B"
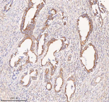
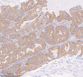
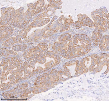
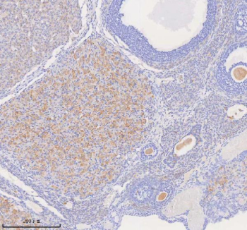
Adding 0.2 ml of distilled water will yield a concentration of 500 ug/ml. COQ8B antibody detects Coenzyme Q8B, a mitochondrial inner membrane protein encoded by the COQ8B gene on chromosome 19q13.2. COQ8B, also known as ADCK4 (AarF domain-containing kinase 4), belongs to the atypical protein kinase-like (PKL) family and plays a vital role in the biosynthesis of coenzyme Q (ubiquinone), a key component of the mitochondrial respiratory chain. The COQ8B protein localizes to mitochondria, where it stabilizes the coenzyme Q biosynthetic complex and regulates redox homeostasis. Structurally, COQ8B possesses a kinase-like fold with an ATP-binding domain and transmembrane segment that anchors it to the inner mitochondrial membrane.COQ8B antibody identifies a protein essential for maintaining efficient oxidative phosphorylation and ATP production. Although it contains a kinase-like domain, COQ8B functions primarily as a regulatory or scaffolding enzyme rather than a classical kinase. It interacts with other coenzyme Q biosynthesis enzymes such as COQ6, COQ7, and COQ9 to ensure proper assembly and function of the multiprotein COQ complex. Loss of COQ8B activity leads to coenzyme Q deficiency, impaired electron transport, and reduced ATP generation.Clinically, mutations in COQ8B are associated with primary coenzyme Q10 deficiency type 9 (COQ10D9), a mitochondrial disorder characterized by steroid-resistant nephrotic syndrome, progressive kidney failure, and neurological symptoms. Patients with COQ8B mutations show mitochondrial structural abnormalities and decreased oxidative capacity. Early diagnosis and coenzyme Q10 supplementation can partially restore mitochondrial function and improve clinical outcomes. The COQ8B gene is highly expressed in kidney, heart, and skeletal muscle, correlating with tissues that have high energy demands.Structurally, COQ8B belongs to the UbiB family of atypical kinases that share sequence similarity with the AarF domain-containing proteins involved in lipid and isoprenoid metabolism. Its conserved nucleotide-binding pocket and regulatory loop regions support ATP binding, suggesting an evolutionary link between metabolic sensing and lipid biosynthesis regulation. In addition to coenzyme Q production, COQ8B may influence mitochondrial morphology and stress signaling pathways related to ROS detoxification.Functional studies demonstrate that COQ8B deficiency alters mitochondrial membrane potential and triggers compensatory upregulation of antioxidant enzymes. The protein?s dual role in coenzyme Q biosynthesis and mitochondrial quality control underscores its importance for cellular energy metabolism and redox balance. In renal physiology, COQ8B maintains podocyte mitochondrial function, and loss of function leads to glomerular injury and nephrotic syndrome. This disease relevance makes COQ8B antibody a valuable tool for both mitochondrial research and renal pathology studies.Immunohistochemical staining using COQ8B antibody shows mitochondrial localization in kidney, heart, and skeletal muscle tissues. COQ8B antibody from NSJ Bioreagents enables reliable detection of this essential coenzyme Q biosynthesis factor in studies of mitochondrial disease and metabolic regulation.
| Keywords: | Anti-COQ8B, Anti-Coenzyme Q protein 8B, Anti-Atypical kinase COQ8B, mitochondrial, Anti-AarF domain-containing protein kinase 4, COQ8B Antibody / Coenzyme Q8B |
| Supplier: | NSJ Bioreagents |
| Supplier-Nr: | FY13313 |
Properties
| Application: | WB, IHC, ICC, IF, ELISA |
| Antibody Type: | Polyclonal |
| Conjugate: | No |
| Host: | Rabbit |
| Species reactivity: | human, mouse, rat |
| Immunogen: | E.coli-derived human COQ8B recombinant protein (Position: Q204-A527) |
| Format: | Purified |
Database Information
| KEGG ID : | K08869 | Matching products |
| UniProt ID : | Q96D53 | Matching products |
| Gene ID : | GeneID 79934 | Matching products |
Handling & Safety
| Storage: | +4°C |
| Shipping: | +4°C (International: +4°C) |
Caution
Our products are for laboratory research use only: Not for administration to humans!
Our products are for laboratory research use only: Not for administration to humans!
Information about the product reference will follow.
more
You will get a certificate here
Viewed