Cookie preferences
This website uses cookies, which are necessary for the technical operation of the website and are always set. Other cookies, which increase the comfort when using this website, are used for direct advertising or to facilitate interaction with other websites and social networks, are only set with your consent.
Configuration
Technically required
These cookies are necessary for the basic functions of the shop.
"Allow all cookies" cookie
"Decline all cookies" cookie
CSRF token
Cookie preferences
Currency change
Customer-specific caching
FACT-Finder tracking
Individual prices
Selected shop
Session
Comfort functions
These cookies are used to make the shopping experience even more appealing, for example for the recognition of the visitor.
Note
Show the facebook fanpage in the right blod sidebar
Statistics & Tracking
Affiliate program
Conversion and usertracking via Google Tag Manager
Track device being used
| Item number | Size | Datasheet | Manual | SDS | Delivery time | Quantity | Price |
|---|---|---|---|---|---|---|---|
| NSJ-RQ4553 | 100 µg | - | - |
3 - 10 business days* |
790.00€
|
If you have any questions, please use our Contact Form.
You can also order by e-mail: info@biomol.com
Larger quantity required? Request bulk
You can also order by e-mail: info@biomol.com
Larger quantity required? Request bulk
0.5mg/ml if reconstituted with 0.2ml sterile DI water. COMP is a pentameric extracellular matrix... more
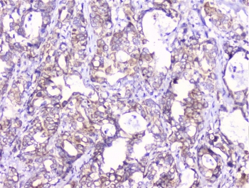
Product information "Anti-COMP / TSP5"
0.5mg/ml if reconstituted with 0.2ml sterile DI water. COMP is a pentameric extracellular matrix protein that catalyzes the assembly of collagens and promotes formation of well-defined fibrils. This gene is mapped to 19q13.32. The protein encoded by this gene is a cytoplasmic enzyme involved in energy homeostasis and is an important serum marker for myocardial infarction. The encoded protein reversibly catalyzes the transfer of phosphate between ATP and various phosphogens such as creatine phosphate. It acts as a homodimer in striated muscle as well as in other tissues, and as a heterodimer with a similar brain isozyme in heart. The encoded protein is a member of the ATP:guanido phosphotransferase protein family. Protein function: Plays a role in the structural integrity of cartilage via its interaction with other extracellular matrix proteins such as the collagens and fibronectin. Can mediate the interaction of chondrocytes with the cartilage extracellular matrix through interaction with cell surface integrin receptors (PubMed:16542502, PubMed:16051604). Could play a role in the pathogenesis of osteoarthritis (PubMed:16542502). Potent suppressor of apoptosis in both primary chondrocytes and transformed cells. Suppresses apoptosis by blocking the activation of caspase-3 and by inducing the IAP family of survival proteins (BIRC3, BIRC2, BIRC5 and XIAP) (PubMed:17993464). Essential for maintaining a vascular smooth muscle cells (VSMCs) contractile/differentiated phenotype under physiological and pathological stimuli. Maintains this phenotype of VSMCs by interacting with ITGA7. [The UniProt Consortium]
| Keywords: | Anti-COMP, Anti-TSP5, Anti-Thrombospondin-5, Anti-Cartilage oligomeric matrix protein, COMP Antibody / TSP5 |
| Supplier: | NSJ Bioreagents |
| Supplier-Nr: | RQ4553 |
Properties
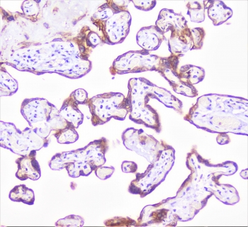
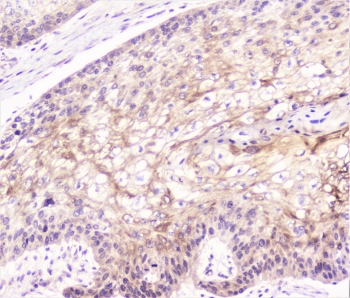
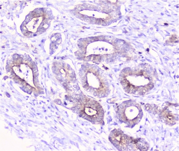
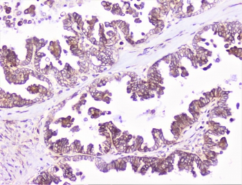
| Application: | WB, IHC (paraffin), IF, FC, Direct ELISA |
| Antibody Type: | Polyclonal |
| Conjugate: | No |
| Host: | Rabbit |
| Species reactivity: | human |
| Immunogen: | amino acids Q505-A757 from the human protein |
| Format: | Purified |
Database Information
| KEGG ID : | K04659 | Matching products |
| UniProt ID : | P49747 | Matching products |
| Gene ID : | GeneID 1311 | Matching products |
Handling & Safety
| Storage: | +4°C |
| Shipping: | +4°C (International: +4°C) |
Caution
Our products are for laboratory research use only: Not for administration to humans!
Our products are for laboratory research use only: Not for administration to humans!
Information about the product reference will follow.
more
You will get a certificate here
Viewed