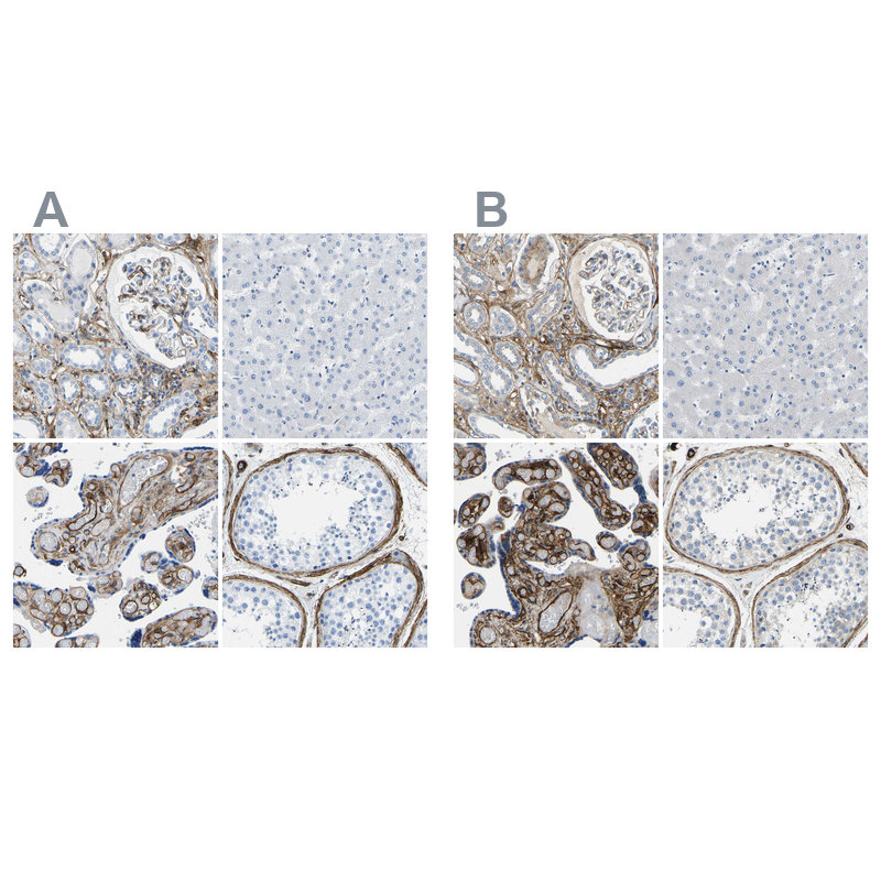
Anti-COL15A1

Item number Size Datasheet Manual SDS Delivery time Quantity Price
ATA-HPA017915.25 25 µl -

7 - 10 business days*

246.00€
ATA-HPA017915.100 100 µl -

7 - 10 business days*

491.00€
 
Protein function: Structural protein that stabilizes microvessels and muscle cells, both in heart... more
Product information "Anti-COL15A1"
Protein function: Structural protein that stabilizes microvessels and muscle cells, both in heart and in skeletal muscle. [The UniProt Consortium] Buffer: 40% glycerol and PBS (pH 7.2). 0.02% sodium azide is added as preservative. Highest antigen sequence identity to mouse: 35% and to rat: 33%
Keywords: Anti-COL15A1
Supplier: Atlas Antibodies
Supplier-Nr: HPA017915

Properties

Application: IHC
Antibody Type: Polyclonal
Conjugate: No
Host: Rabbit
Species reactivity: human
Immunogen: Recombinant Protein Epitope Signature Tag (PrEST) antigen sequence: MPGEVEASGV APGELDLSMS AQSLGEEATV GPSSEDSLTT AAAATEVSLS TFEDEEASGV PTDGLAPLTA TMAPERAVTS GPGDEEDLAA A (ATA-APrEST74512)

Database Information

KEGG ID : K08135 | Matching products
UniProt ID : P39059 | Matching products
Gene ID : GeneID 1306 | Matching products
Protein Atlas Nr. : ENSG00000204291

Handling & Safety

Storage: -20°C
Shipping: +20°C (International: +20°C)
Caution
Our products are for laboratory research use only: Not for administration to humans!
You will get a certificate here
or to request a certificate of analysis.
Read, write and discuss reviews... more
Customer review for "Anti-COL15A1"
Write a review
or to review a product.
Viewed