This website uses cookies, which are necessary for the technical operation of the website and are always set. Other cookies, which increase the comfort when using this website, are used for direct advertising or to facilitate interaction with other websites and social networks, are only set with your consent.
Configuration
Technically required
These cookies are necessary for the basic functions of the shop.
"Allow all cookies" cookie
"Decline all cookies" cookie
CSRF token
Cookie preferences
Currency change
Customer-specific caching
FACT-Finder tracking
Individual prices
Selected shop
Session
Comfort functions
These cookies are used to make the shopping experience even more appealing, for example for the recognition of the visitor.
Note
Show the facebook fanpage in the right blod sidebar
Statistics & Tracking
Affiliate program
Conversion and usertracking via Google Tag Manager
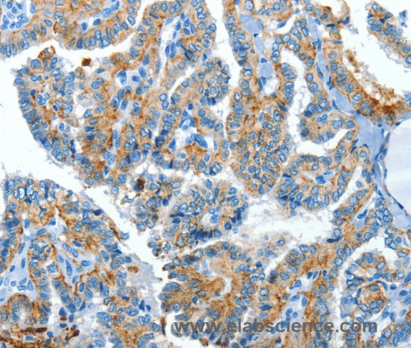
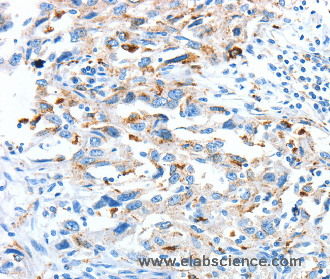
Cleft lip and palate transmembrane protein 1-like protein (CLPTM1-like protein), also known as cisplatin resistance-related protein 9 (CRR9p), is a protein that in humans is encoded by the CLPTM1L gene. CRR9p is associated with cisplatin-induced apoptosis. CLPTM1L, which lies within a cancer susceptibility locus on chromosome 5 (5p15.33), has been found to be commonly over-expressed in lung tumors and to confer resistance to apoptosis caused by genotoxic agents in association with up-regulation of the anti-apoptotic protein, Bcl-xL. Protein function: Enhances cisplatin-mediated apoptosis, when overexpressed. [The UniProt Consortium]
Keywords:
Anti-CRR9, Anti-CRR9p, Anti-CLPTM1L, Anti-CLPTM1-like protein, Anti-Cisplatin resistance-related protein 9, Anti-Cleft lip and palate transmembrane protein 1-like protein, CLPTM1L Polyclonal Antibody
This website uses cookies, which are necessary for the technical operation of the website and are always set. Other cookies, which increase the usability of this website, serve for direct advertising or simplify interaction with other websites and social networks, will only be used with your consent.
More information