Cookie preferences
This website uses cookies, which are necessary for the technical operation of the website and are always set. Other cookies, which increase the comfort when using this website, are used for direct advertising or to facilitate interaction with other websites and social networks, are only set with your consent.
Configuration
Technically required
These cookies are necessary for the basic functions of the shop.
"Allow all cookies" cookie
"Decline all cookies" cookie
CSRF token
Cookie preferences
Currency change
Customer-specific caching
FACT-Finder tracking
Individual prices
Selected shop
Session
Comfort functions
These cookies are used to make the shopping experience even more appealing, for example for the recognition of the visitor.
Note
Show the facebook fanpage in the right blod sidebar
Statistics & Tracking
Affiliate program
Conversion and usertracking via Google Tag Manager
Track device being used
| Item number | Size | Datasheet | Manual | SDS | Delivery time | Quantity | Price |
|---|---|---|---|---|---|---|---|
| A300-266A-T | 10 µl (10 µg) | - |
2 - 8 business days* |
165.00€
|
|||
| A300-266A | 100 µl (100 µg) | - |
2 - 8 business days* |
586.00€
|
If you have any questions, please use our Contact Form.
You can also order by e-mail: info@biomol.com
Larger quantity required? Request bulk
You can also order by e-mail: info@biomol.com
Larger quantity required? Request bulk
Protein function: Required for checkpoint mediated cell cycle arrest in response to inhibition of... more
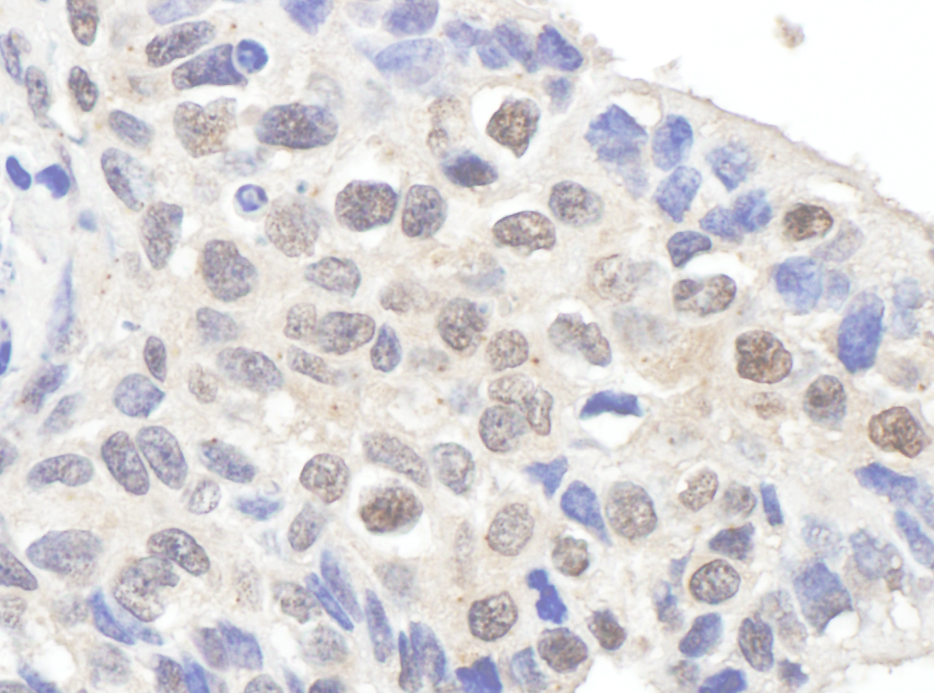
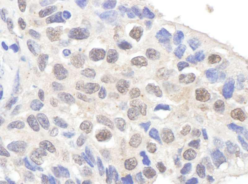
Product information "Anti-Claspin"
Protein function: Required for checkpoint mediated cell cycle arrest in response to inhibition of DNA replication or to DNA damage induced by both ionizing and UV irradiation. Adapter protein which binds to BRCA1 and the checkpoint kinase CHEK1 and facilitates the ATR- dependent phosphorylation of both proteins. Can also bind specifically to branched DNA structures and may associate with S- phase chromatin following formation of the pre-replication complex (pre-RC). This may indicate a role for this protein as a sensor which monitors the integrity of DNA replication forks. [The UniProt Consortium]
| Keywords: | Anti-CLSPN, Anti-Claspin, Anti-hClaspin |
| Supplier: | Bethyl Laboratories |
| Supplier-Nr: | A300-266A |
Properties
| Application: | WB, IP, IHC |
| Antibody Type: | Polyclonal |
| Conjugate: | No |
| Host: | Rabbit |
| Species reactivity: | human (Expected: orangutan, gorilla, chimpanzee, white-tufted-ear marmoset, naked mole rat, thirteen-lined ground squirrel, northern white-cheeked gibbon) |
| Immunogen: | synthetic peptide. The epitope recognized by A300-265A maps to a region between residues 450 and 500 of human Claspin using the numbering given in entry AAG24515.1 (GeneID 63967). |
| Format: | Antigen Affinity Purified |
Database Information
| UniProt ID : | Q9HAW4 | Matching products |
| Gene ID : | GeneID 63967 | Matching products |
Handling & Safety
| Storage: | +4°C |
| Shipping: | +4°C (International: +4°C) |
Caution
Our products are for laboratory research use only: Not for administration to humans!
Our products are for laboratory research use only: Not for administration to humans!
Information about the product reference will follow.
more
You will get a certificate here
Viewed