This website uses cookies, which are necessary for the technical operation of the website and are always set. Other cookies, which increase the comfort when using this website, are used for direct advertising or to facilitate interaction with other websites and social networks, are only set with your consent.
Configuration
Technically required
These cookies are necessary for the basic functions of the shop.
"Allow all cookies" cookie
"Decline all cookies" cookie
CSRF token
Cookie preferences
Currency change
Customer-specific caching
FACT-Finder tracking
Individual prices
Selected shop
Session
Comfort functions
These cookies are used to make the shopping experience even more appealing, for example for the recognition of the visitor.
Note
Show the facebook fanpage in the right blod sidebar
Statistics & Tracking
Affiliate program
Conversion and usertracking via Google Tag Manager
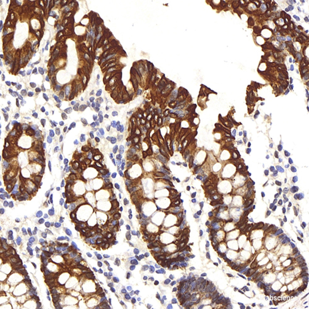
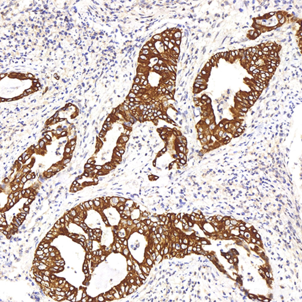
Cytokeratin 8 (CK8) has a molecular weight of 52.5 KDa, which belongs to the HMW (high molecular weight) B-type Cytokeratin. CK8 is mainly marked on non-squamous epithelium, thus can be used for the diagnosis of adenocarcinoma and ductal carcinoma. Generally, CK8 is not expressed in squamous cell carcinoma. It is reported that hepatocellular carcinoma mainly express CK8 and CK18. Protein function: Together with KRT19, helps to link the contractile apparatus to dystrophin at the costameres of striated muscle. [The UniProt Consortium]
Keywords:
Anti-K8, Anti-CK-8, Anti-CYK8, Anti-KRT8, Anti-Keratin-8, Anti-Cytokeratin-8, Anti-Type-II keratin Kb8, Anti-Keratin, type II cytoskeletal 8, CK-8 Polyclonal Antibody
This website uses cookies, which are necessary for the technical operation of the website and are always set. Other cookies, which increase the usability of this website, serve for direct advertising or simplify interaction with other websites and social networks, will only be used with your consent.
More information