Cookie preferences
This website uses cookies, which are necessary for the technical operation of the website and are always set. Other cookies, which increase the comfort when using this website, are used for direct advertising or to facilitate interaction with other websites and social networks, are only set with your consent.
Configuration
Technically required
These cookies are necessary for the basic functions of the shop.
"Allow all cookies" cookie
"Decline all cookies" cookie
CSRF token
Cookie preferences
Currency change
Customer-specific caching
FACT-Finder tracking
Individual prices
Selected shop
Session
Comfort functions
These cookies are used to make the shopping experience even more appealing, for example for the recognition of the visitor.
Note
Show the facebook fanpage in the right blod sidebar
Statistics & Tracking
Affiliate program
Conversion and usertracking via Google Tag Manager
Track device being used
If you have any questions, please use our Contact Form.
You can also order by e-mail: info@biomol.com
Larger quantity required? Request bulk
You can also order by e-mail: info@biomol.com
Larger quantity required? Request bulk
The keratins are intermediate filament proteins responsible for the structural integrity of... more
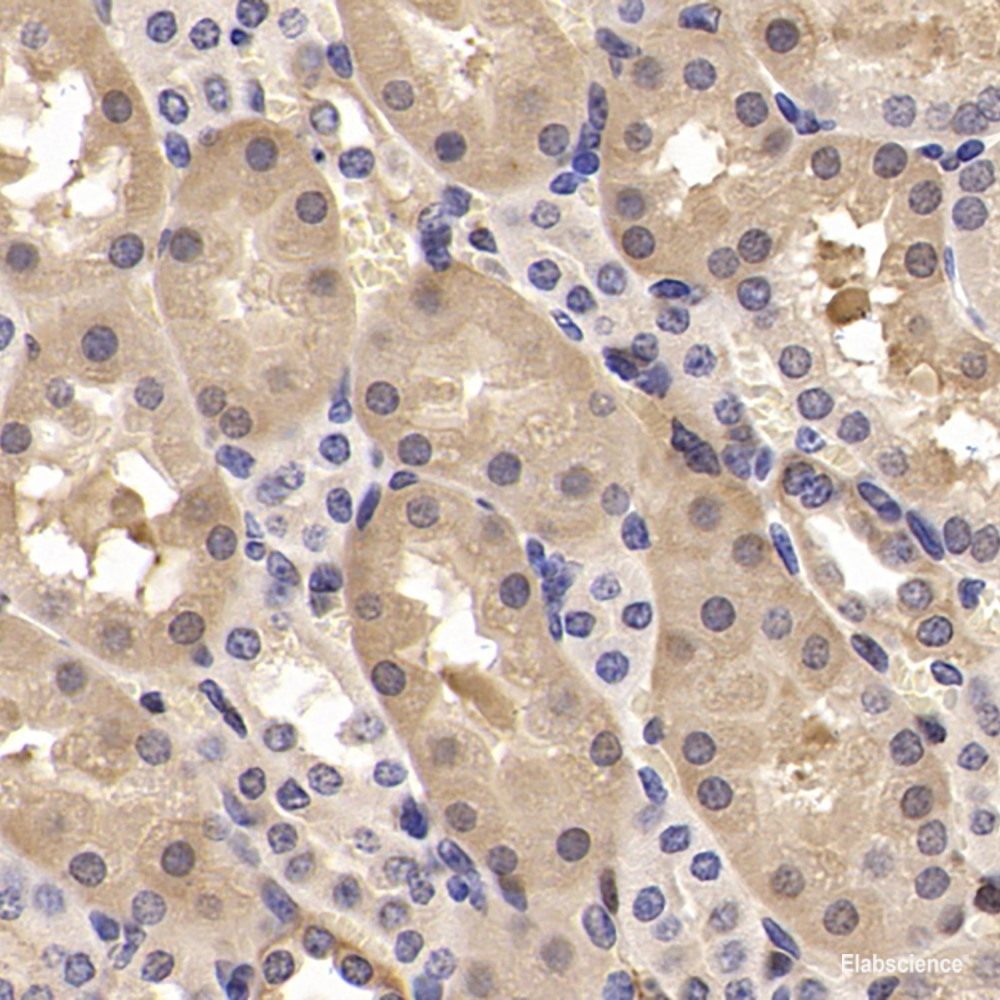
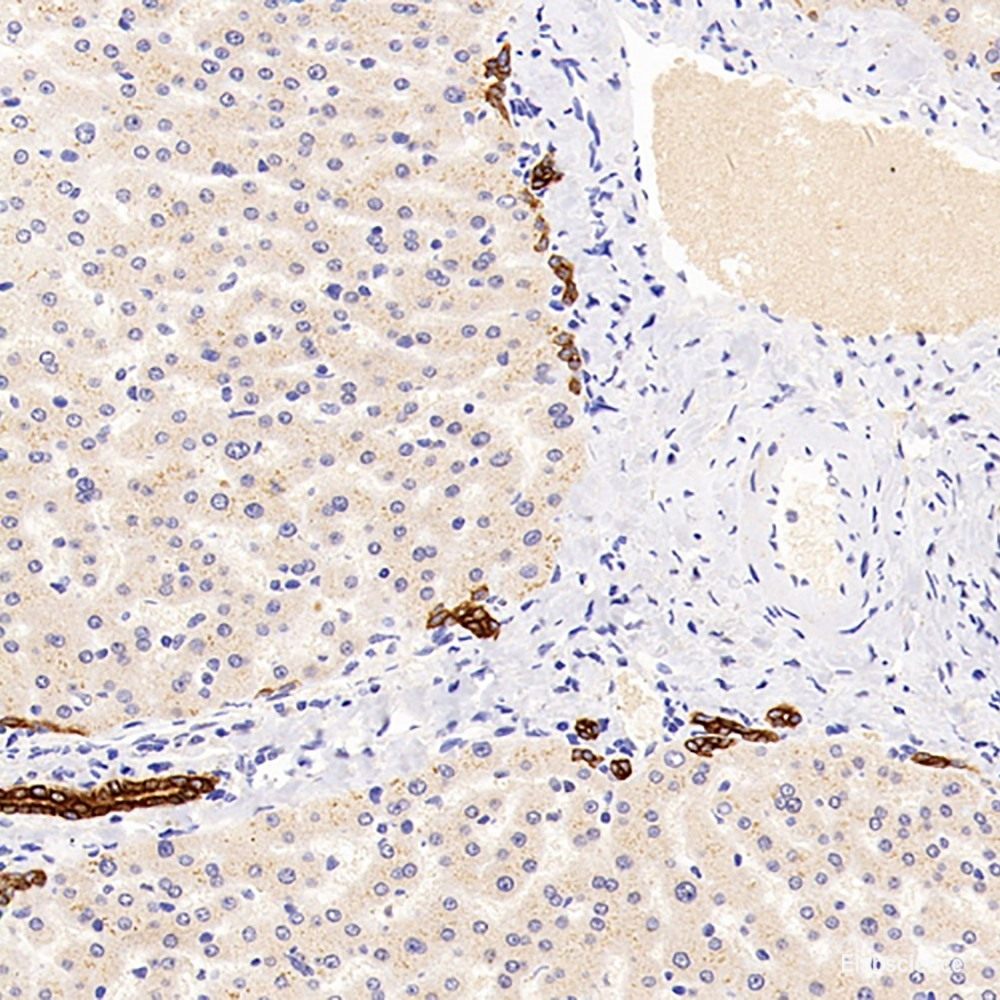
Product information "Anti-CK-19"
The keratins are intermediate filament proteins responsible for the structural integrity of epithelial cells. KRT19,one of type I keratins,is specifically expressed in the periderm,the transiently superficial layer that envelopes the developing epidermis. Due to its high sensitivity,KRT19 is the most used marker for detection of tumor cells disseminated in lymph nodes,peripheral blood,and bone marrow of breast cancer patients. This antibody,generated against full length KRT19 protein,also recognizes KRT17,another type I keratin homologous to KRT19. KRT17 is used as a marker for trauma. Protein function: Involved in the organization of myofibers. Together with KRT8, helps to link the contractile apparatus to dystrophin at the costameres of striated muscle. [The UniProt Consortium]
| Keywords: | Anti-K19, Anti-CK-19, Anti-KRT19, Anti-Keratin-19, Anti-Cytokeratin-19, Anti-Keratin, type I cytoskeletal 19, CK-19 Polyclonal Antibody |
| Supplier: | Elabscience |
| Supplier-Nr: | E-AB-70083 |
Properties
| Application: | WB, IHC |
| Antibody Type: | Polyclonal |
| Conjugate: | No |
| Host: | Rabbit |
| Species reactivity: | human, mouse, rat |
| Immunogen: | KLH conjugated Synthetic peptide corresponding to Mouse Cytokeratin 19 |
Database Information
| KEGG ID : | K07604 | Matching products |
| UniProt ID : | P08727 | Matching products |
| Gene ID : | GeneID 3880 | Matching products |
Handling & Safety
| Storage: | -20°C |
| Shipping: | 4°C (International: -20°C) |
Caution
Our products are for laboratory research use only: Not for administration to humans!
Our products are for laboratory research use only: Not for administration to humans!
Information about the product reference will follow.
more
You will get a certificate here
Viewed