Anti-CDKN2A / p16INK4a / p14ARF, clone 4C6/4

Item number Size Datasheet Manual SDS Delivery time Quantity Price
NEO-1029-MSM1-P0 20 µg - -

Request delivery time estimate

326.00€
NEO-1029-MSM1-P1 100 µg - -

Request delivery time estimate

704.00€
 
Formulation: Purified Ab with BSA and Azide at 200ug/ml. Cellular Localization: Cytoplasm,... more
Product information "Anti-CDKN2A / p16INK4a / p14ARF, clone 4C6/4"
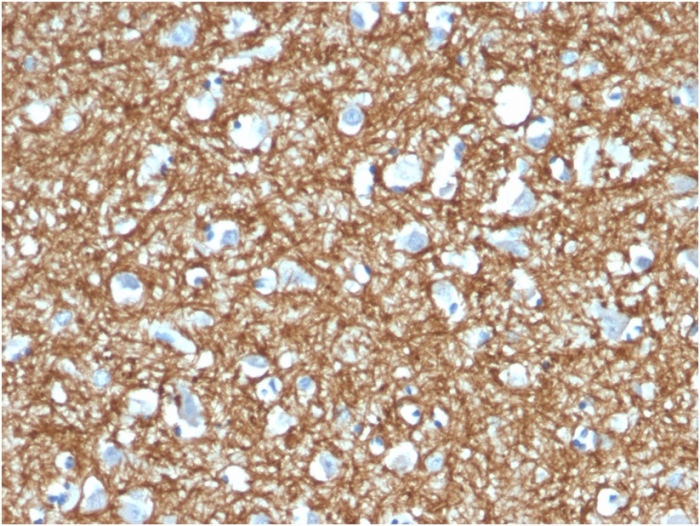
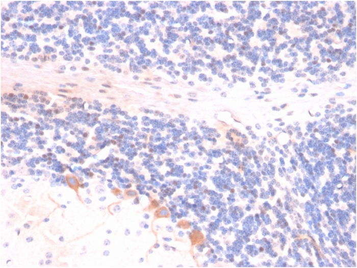
Formulation: Purified Ab with BSA and Azide at 200ug/ml. Cellular Localization: Cytoplasm, Nucleus. Positive Control: H1299 and HeLa cells, human prostate carcinoma., MCF7. Chromosome Location: 9p21.3. Protein Function: Acts as a negative regulator of the proliferation of normal cells by interacting strongly with CDK4 and CDK6. This inhibits their ability to interact with cyclins D and to phosphorylate the retinoblastoma protein [The Uniprot Consortium]
Keywords: Anti-CDKN2A, Anti-p16-INK4a, Anti-Multiple tumor suppressor 1, Anti-Cyclin-dependent kinase inhibitor 2A, Anti-Cyclin-dependent kinase 4 inhibitor A, 559
Supplier: NeoBiotechnologies
Supplier-Nr: 1029-MSM1

Properties

Application: FC, IF, IHC, WB
Antibody Type: Monoclonal
Clone: 4C6/4
Conjugate: No
Host: Mouse
Species reactivity: human, rat
MW: 14 kD
Format: Purified

Handling & Safety

Storage: +4°C
Shipping: +4°C (International: +4°C)
Caution
Our products are for laboratory research use only: Not for administration to humans!
Information about the product reference will follow. more
You will get a certificate here
or to request a certificate of analysis.
Read, write and discuss reviews... more
Customer review for "Anti-CDKN2A / p16INK4a / p14ARF, clone 4C6/4"
Write a review
or to review a product.
Viewed