Cookie preferences
This website uses cookies, which are necessary for the technical operation of the website and are always set. Other cookies, which increase the comfort when using this website, are used for direct advertising or to facilitate interaction with other websites and social networks, are only set with your consent.
Configuration
Technically required
These cookies are necessary for the basic functions of the shop.
"Allow all cookies" cookie
"Decline all cookies" cookie
CSRF token
Cookie preferences
Currency change
Customer-specific caching
FACT-Finder tracking
Individual prices
Selected shop
Session
Comfort functions
These cookies are used to make the shopping experience even more appealing, for example for the recognition of the visitor.
Note
Show the facebook fanpage in the right blod sidebar
Statistics & Tracking
Affiliate program
Conversion and usertracking via Google Tag Manager
Track device being used
| Item number | Size | Datasheet | Manual | SDS | Delivery time | Quantity | Price |
|---|---|---|---|---|---|---|---|
| NSJ-R32422 | 100 µg | - | - |
3 - 10 business days* |
790.00€
|
If you have any questions, please use our Contact Form.
You can also order by e-mail: info@biomol.com
Larger quantity required? Request bulk
You can also order by e-mail: info@biomol.com
Larger quantity required? Request bulk
0.5mg/ml if reconstituted with 0.2ml sterile DI water. CUB domain-containing protein 1 (CDCP1) is... more
Product information "Anti-CDCP1"
0.5mg/ml if reconstituted with 0.2ml sterile DI water. CUB domain-containing protein 1 (CDCP1) is a protein that in humans is encoded by the CDCP1 gene. It has also been designated as CD318 (cluster of differentiation 318) and Trask (Transmembrane and associated with src kinases). CDCP1/Trask is a 140 kD transmembrane glycoprotein with a large extracellular domain (ECD) containing two CUB domains, and a smaller intracellular domain (ICD) containing five tyrosines. The tyrosine phosphorylation of Trask is tightly regulated and reciprocally linked with the state of cell adhesion. The tyrosine phosphorylation of CDCP1 in cultured cells occurs when cells are induced to detach by trypsin or EDTA, or seen spontaneously during mitotic detachment. The overexpression of CDCP1 leads to the loss of cell adhesion and a detached phenotype. CDCP1 is widely expressed in human epithelial tissues, but its phosphorylation is only seen in mitotically detached or shedding cells, consistent with its role in the negative regulation of cell adhesion. Protein function: May be involved in cell adhesion and cell matrix association. May play a role in the regulation of anchorage versus migration or proliferation versus differentiation via its phosphorylation. May be a novel marker for leukemia diagnosis and for immature hematopoietic stem cell subsets. Belongs to the tetraspanin web involved in tumor progression and metastasis. [The UniProt Consortium]
| Keywords: | Anti-CD318, Anti-CDCP1, Anti-TRASK, Anti-SIMA135, Anti-Membrane glycoprotein gp140, Anti-CUB domain-containing protein 1, Anti-Transmembrane and associated with src kinases, Anti-Subtractive immunization M plus HEp3-associated 135 kDa protein, CDCP1 Antib |
| Supplier: | NSJ Bioreagents |
| Supplier-Nr: | R32422 |
Properties
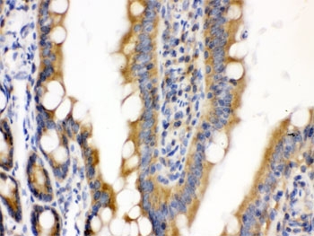
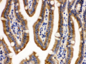
| Application: | WB, IHC (paraffin) |
| Antibody Type: | Polyclonal |
| Conjugate: | No |
| Host: | Rabbit |
| Species reactivity: | human, mouse, rat |
| Immunogen: | Amino acids R582-T667 of the human protein were used as the immunogen for the CDCP1 antibody. |
| Format: | Purified |
Database Information
| KEGG ID : | K06732 | Matching products |
| UniProt ID : | Q9H5V8 | Matching products |
| Gene ID : | GeneID 64866 | Matching products |
Handling & Safety
| Storage: | -20°C |
| Shipping: | -20°C (International: -20°C) |
Caution
Our products are for laboratory research use only: Not for administration to humans!
Our products are for laboratory research use only: Not for administration to humans!
Information about the product reference will follow.
more
You will get a certificate here
Viewed