Cookie preferences
This website uses cookies, which are necessary for the technical operation of the website and are always set. Other cookies, which increase the comfort when using this website, are used for direct advertising or to facilitate interaction with other websites and social networks, are only set with your consent.
Configuration
Technically required
These cookies are necessary for the basic functions of the shop.
"Allow all cookies" cookie
"Decline all cookies" cookie
CSRF token
Cookie preferences
Currency change
Customer-specific caching
FACT-Finder tracking
Individual prices
Selected shop
Session
Comfort functions
These cookies are used to make the shopping experience even more appealing, for example for the recognition of the visitor.
Note
Show the facebook fanpage in the right blod sidebar
Statistics & Tracking
Affiliate program
Conversion and usertracking via Google Tag Manager
Track device being used
| Item number | Size | Datasheet | Manual | SDS | Delivery time | Quantity | Price |
|---|---|---|---|---|---|---|---|
| NSJ-R32832 | 100 µg | - | - |
3 - 10 business days* |
790.00€
|
If you have any questions, please use our Contact Form.
You can also order by e-mail: info@biomol.com
Larger quantity required? Request bulk
You can also order by e-mail: info@biomol.com
Larger quantity required? Request bulk
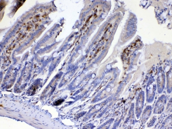
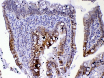
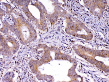
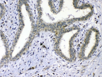
0.5mg/ml if reconstituted with 0.2ml sterile DI water. The cell-division cycle protein 20, also... more
Product information "Anti-Cdc20"
0.5mg/ml if reconstituted with 0.2ml sterile DI water. The cell-division cycle protein 20, also known as p55CDC, is an essential regulator of cell division that is encoded by the CDC20 gene in humans. The chromosomal assignment of human CDC20 is 1p34.2. CDC20 is a component of the mammalian cell cycle mechanism. CDC20 appears to act as a regulatory protein interacting with many other proteins at multiple points in the cell cycle. This gene's most important function is to activate the anaphase promoting complex (APC), a large 11-13 subunit complex that initiates chromatid separation and entrance into anaphase. Protein function: Required for full ubiquitin ligase activity of the anaphase promoting complex/cyclosome (APC/C) and may confer substrate specificity upon the complex. Is regulated by MAD2L1: in metaphase the MAD2L1-CDC20-APC/C ternary complex is inactive and in anaphase the CDC20-APC/C binary complex is active in degrading substrates. The CDC20-APC/C complex positively regulates the formation of synaptic vesicle clustering at active zone to the presynaptic membrane in postmitotic neurons. CDC20-APC/C-induced degradation of NEUROD2 induces presynaptic differentiation. [The UniProt Consortium]
| Keywords: | Anti-CDC20, Anti-p55CDC, Anti-Cell division cycle protein 20 homolog, Cdc20 Antibody |
| Supplier: | NSJ Bioreagents |
| Supplier-Nr: | R32832 |
Properties
| Application: | WB, IHC (paraffin), IF, FC |
| Antibody Type: | Polyclonal |
| Conjugate: | No |
| Host: | Rabbit |
| Species reactivity: | human, mouse, rat |
| Immunogen: | Amino acids QTPTKKEHQKAWALNLNGFDVEEAKILRLSGKPQNAPEGYQNRLKVLYSQKAT |
| Format: | Purified |
Database Information
| KEGG ID : | K03363 | Matching products |
| UniProt ID : | Q12834 | Matching products |
| Gene ID : | GeneID 991 | Matching products |
Handling & Safety
| Storage: | +4°C |
| Shipping: | +4°C (International: +4°C) |
Caution
Our products are for laboratory research use only: Not for administration to humans!
Our products are for laboratory research use only: Not for administration to humans!
Information about the product reference will follow.
more
You will get a certificate here
Viewed