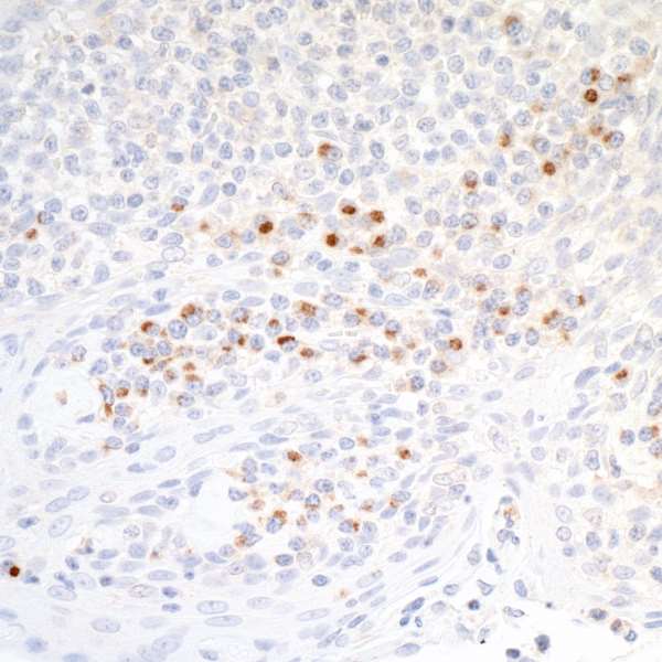
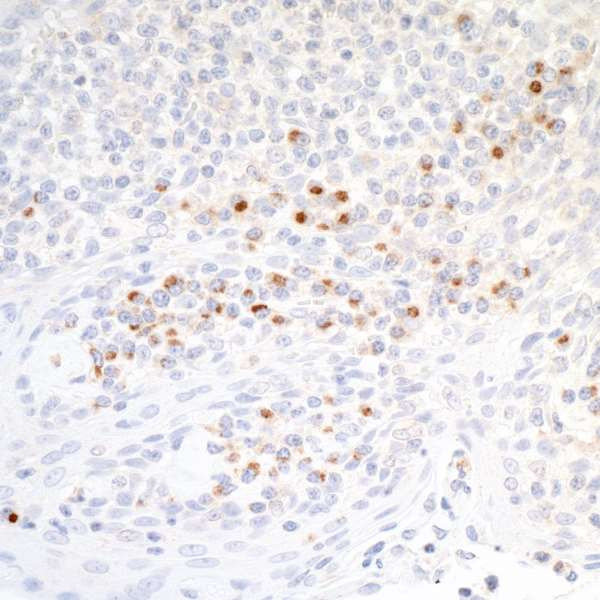
Anti-CD86 Recombinant Monoclonal

Item number Size Datasheet Manual SDS Delivery time Quantity Price
A700-030-T 10 µl (5+ tests) -

2 - 8 business days*

172.00€
A700-030 100 µl (50+ tests) -

2 - 8 business days*

652.00€
521.60€
 
Protein function: Receptor involved in the costimulatory signal essential for T-lymphocyte... more
Product information "Anti-CD86 Recombinant Monoclonal"
Protein function: Receptor involved in the costimulatory signal essential for T-lymphocyte proliferation and interleukin-2 production, by binding CD28 or CTLA-4. May play a critical role in the early events of T-cell activation and costimulation of naive T-cells, such as deciding between immunity and anergy that is made by T- cells within 24 hours after activation. Isoform 2 interferes with the formation of CD86 clusters, and thus acts as a negative regulator of T-cell activation. [The UniProt Consortium]
Keywords: Anti-B70, Anti-BU63, Anti-CD86, Anti-FUN-1, Anti-CD28LG2, Anti-Activation B7-2 antigen, Anti-CTLA-4 counter-receptor B7.2, Anti-T-lymphocyte activation antigen CD86
Supplier: Bethyl Laboratories
Supplier-Nr: A700-030

Properties

Application: WB, IP, IHC, ICC, FC
Antibody Type: Monoclonal
Conjugate: No
Host: Rabbit
Species reactivity: human
Format: Antigen Affinity Purified

Handling & Safety

Storage: +4°C
Shipping: +4°C (International: +4°C)
Caution
Our products are for laboratory research use only: Not for administration to humans!
You will get a certificate here
or to request a certificate of analysis.
Read, write and discuss reviews... more
Customer review for "Anti-CD86 Recombinant Monoclonal"
Write a review
or to review a product.
Viewed