Cookie preferences
This website uses cookies, which are necessary for the technical operation of the website and are always set. Other cookies, which increase the comfort when using this website, are used for direct advertising or to facilitate interaction with other websites and social networks, are only set with your consent.
Configuration
Technically required
These cookies are necessary for the basic functions of the shop.
"Allow all cookies" cookie
"Decline all cookies" cookie
CSRF token
Cookie preferences
Currency change
Customer-specific caching
FACT-Finder tracking
Individual prices
Selected shop
Session
Comfort functions
These cookies are used to make the shopping experience even more appealing, for example for the recognition of the visitor.
Note
Show the facebook fanpage in the right blod sidebar
Statistics & Tracking
Affiliate program
Conversion and usertracking via Google Tag Manager
Track device being used
If you have any questions, please use our Contact Form.
You can also order by e-mail: info@biomol.com
Larger quantity required? Request bulk
You can also order by e-mail: info@biomol.com
Larger quantity required? Request bulk
The protein encoded by this gene is a member of the transmembrane 4 superfamily, also known as... more
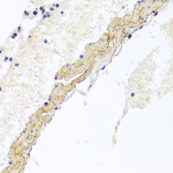
Product information "Anti-CD81"
The protein encoded by this gene is a member of the transmembrane 4 superfamily, also known as the tetraspanin family. Most of these members are cell-surface proteins that are characterized by the presence of four hydrophobic domains. The proteins mediate signal transduction events that play a role in the regulation of cell development, activation, growth and motility. This encoded protein is a cell surface glycoprotein that is known to complex with integrins. This protein appears to promote muscle cell fusion and support myotube maintenance. Also it may be involved in signal transduction. This gene is localized in the tumor-suppressor gene region and thus it is a candidate gene for malignancies. Two transcript variants encoding different isoforms have been found for this gene. Protein function: May be involved in the acrosome reaction. May play an important role in the regulation of lymphoma cell growth (PubMed:1695320, PubMed:2398277). [The UniProt Consortium]
| Keywords: | Anti-CD81, Anti-Tspan-28, Anti-CD81 antigen, Anti-Tetraspanin-28, Anti-26 kDa cell surface protein TAPA-1, Anti-Target of the antiproliferative antibody 1, CD81 Polyclonal Antibody |
| Supplier: | Elabscience |
| Supplier-Nr: | E-AB-63817 |
Properties
| Application: | WB, IHC |
| Antibody Type: | Polyclonal |
| Conjugate: | No |
| Host: | Rabbit |
| Species reactivity: | mouse |
| Immunogen: | A synthetic peptide of human CD81 |
Database Information
| KEGG ID : | K06508 | Matching products |
| UniProt ID : | P60033 | Matching products |
| Gene ID : | GeneID 975 | Matching products |
Handling & Safety
| Storage: | -20°C |
| Shipping: | 4°C (International: -20°C) |
Caution
Our products are for laboratory research use only: Not for administration to humans!
Our products are for laboratory research use only: Not for administration to humans!
Information about the product reference will follow.
more
You will get a certificate here
Viewed