Anti-CD72 (B Cell Marker), clone BU40

Item number Size Datasheet Manual SDS Delivery time Quantity Price
NEO-971-MSM1-P0 20 µg - -

Request delivery time estimate

326.00€
NEO-971-MSM1-P1 100 µg - -

Request delivery time estimate

704.00€
 
Formulation: Purified Ab with BSA and Azide at 200ug/ml. Cellular Localization: Membrane.... more
Product information "Anti-CD72 (B Cell Marker), clone BU40"
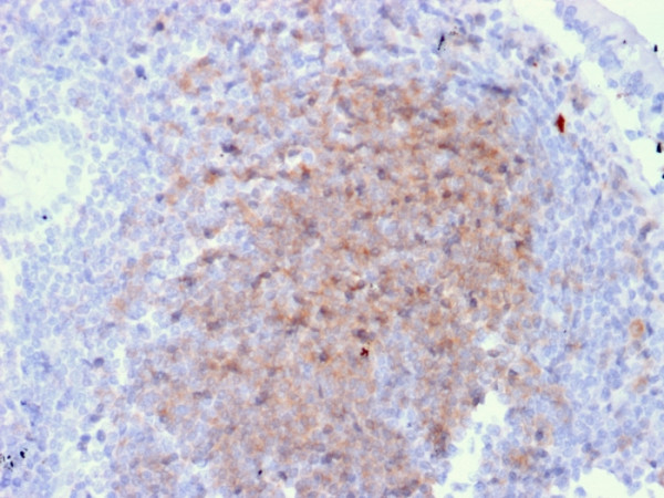
Formulation: Purified Ab with BSA and Azide at 200ug/ml. Cellular Localization: Membrane. Positive Control: K562 cel lysate. Tonsil or Lymph Node. Chromosome Location: 9p13.3. Protein Function: Co-receptor of B cell receptor (BCR) that plays both positive and negative roles on B-cell functions. Recognizes the Sm/ribonucleoprotein (RNP) self-antigen ligand, and coligation of CD72 and BCR inhibits BCR signaling. Mechanistically, ligand binding leads to the recruitment of PTPN6/SHP-1 to the BCR complex which is inhibitory to BCR signaling. Also acts as a ligand for CD5 and thereby plays a critical role in maintaining regulatory T and B-cell homeostasis [The Uniprot Consortium]
Keywords: Anti-CD72, Anti-Lyb-2, Anti-B-cell differentiation antigen CD72, 559
Supplier: NeoBiotechnologies
Supplier-Nr: 971-MSM1

Properties

Application: ELISA, FC, IF, IHC
Antibody Type: Monoclonal
Clone: BU40
Conjugate: No
Host: Mouse
Species reactivity: human
MW: 45 kD
Format: Purified

Handling & Safety

Storage: -20°C
Shipping: +4°C (International: +4°C)
Caution
Our products are for laboratory research use only: Not for administration to humans!
Information about the product reference will follow. more
You will get a certificate here
or to request a certificate of analysis.
Read, write and discuss reviews... more
Customer review for "Anti-CD72 (B Cell Marker), clone BU40"
Write a review
or to review a product.
Viewed