Cookie preferences
This website uses cookies, which are necessary for the technical operation of the website and are always set. Other cookies, which increase the comfort when using this website, are used for direct advertising or to facilitate interaction with other websites and social networks, are only set with your consent.
Configuration
Technically required
These cookies are necessary for the basic functions of the shop.
"Allow all cookies" cookie
"Decline all cookies" cookie
CSRF token
Cookie preferences
Currency change
Customer-specific caching
FACT-Finder tracking
Individual prices
Selected shop
Session
Comfort functions
These cookies are used to make the shopping experience even more appealing, for example for the recognition of the visitor.
Note
Show the facebook fanpage in the right blod sidebar
Statistics & Tracking
Affiliate program
Conversion and usertracking via Google Tag Manager
Track device being used
| Item number | Size | Datasheet | Manual | SDS | Delivery time | Quantity | Price |
|---|---|---|---|---|---|---|---|
| NEO-968-MSM1X-P1ABX | 100 µg | - | - |
Request delivery time estimate |
704.00€
|
If you have any questions, please use our Contact Form.
You can also order by e-mail: info@biomol.com
Larger quantity required? Request bulk
You can also order by e-mail: info@biomol.com
Larger quantity required? Request bulk
Formulation: Purified Ab WITHOUT BSA and Azide at 1.0mg/ml. Cellular Localization: Cell membrane,... more
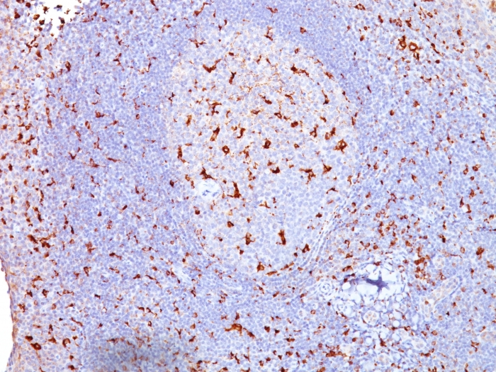
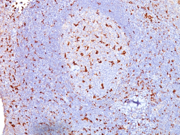
Product information "Anti-CD68 (Macrophage Marker), clone SPM130"
Formulation: Purified Ab WITHOUT BSA and Azide at 1.0mg/ml. Cellular Localization: Cell membrane, Endosome membrane, Lysosome membrane. Positive Control: lymph node or spleen., Tonsil. Chromosome Location: 17p13.1. Protein Function: Could play a role in phagocytic activities of tissue macrophages, both in intracellular lysosomal metabolism and extracellular cell-cell and cell-pathogen interactions. Binds to tissue- and organ-specific lectins or selectins, allowing homing of macrophage subsets to particular sites. Rapid recirculation of CD68 from endosomes and lysosomes to the plasma membrane may allow macrophages to crawl over selectin-bearing substrates or other cells [The Uniprot Consortium]
| Keywords: | Anti-CD68, Anti-Gp110, Anti-Macrosialin, 559 |
| Supplier: | NeoBiotechnologies |
| Supplier-Nr: | 968-MSM1XABX |
Properties
| Application: | FC, IF, IHC |
| Antibody Type: | Monoclonal |
| Clone: | SPM130 |
| Conjugate: | No |
| Host: | Mouse |
| Species reactivity: | cat, human, monkey, mouse, rabbit, rat |
| MW: | 110 kD |
| Format: | Purified |
Database Information
| KEGG ID : | K06501 | Matching products |
| UniProt ID : | P34810 | Matching products |
| Gene ID : | GeneID 968 | Matching products |
Handling & Safety
| Storage: | -20°C |
| Shipping: | +4°C (International: +4°C) |
Caution
Our products are for laboratory research use only: Not for administration to humans!
Our products are for laboratory research use only: Not for administration to humans!
You will get a certificate here
Viewed