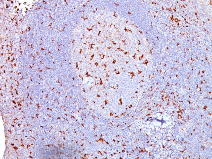
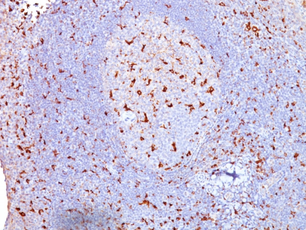
Anti-CD68 (Macrophage Marker), clone SPM130

Item number Size Datasheet Manual SDS Delivery time Quantity Price
NEO-968-MSM1X-P0 20 µg - -

Request delivery time estimate

326.00€
NEO-968-MSM1X-P1 100 µg - -

Request delivery time estimate

704.00€
 
Formulation: Purified Ab with BSA and Azide at 200ug/ml. Cellular Localization: Cell membrane,... more
Product information "Anti-CD68 (Macrophage Marker), clone SPM130"
Formulation: Purified Ab with BSA and Azide at 200ug/ml. Cellular Localization: Cell membrane, Endosome membrane, Lysosome membrane. Positive Control: lymph node or spleen., Tonsil. Chromosome Location: 17p13.1. Protein Function: Could play a role in phagocytic activities of tissue macrophages, both in intracellular lysosomal metabolism and extracellular cell-cell and cell-pathogen interactions. Binds to tissue- and organ-specific lectins or selectins, allowing homing of macrophage subsets to particular sites. Rapid recirculation of CD68 from endosomes and lysosomes to the plasma membrane may allow macrophages to crawl over selectin-bearing substrates or other cells [The Uniprot Consortium]
Keywords: Anti-CD68, Anti-Gp110, Anti-Macrosialin, 559
Supplier: NeoBiotechnologies
Supplier-Nr: 968-MSM1X

Properties

Application: FC, IF, IHC
Antibody Type: Monoclonal
Clone: SPM130
Conjugate: No
Host: Mouse
Species reactivity: cat, human, monkey, mouse, rabbit, rat
MW: 110 kD
Format: Purified

Handling & Safety

Storage: -20°C
Shipping: +4°C (International: +4°C)
Caution
Our products are for laboratory research use only: Not for administration to humans!
Information about the product reference will follow. more
You will get a certificate here
or to request a certificate of analysis.
Read, write and discuss reviews... more
Customer review for "Anti-CD68 (Macrophage Marker), clone SPM130"
Write a review
or to review a product.
Viewed