Cookie preferences
This website uses cookies, which are necessary for the technical operation of the website and are always set. Other cookies, which increase the comfort when using this website, are used for direct advertising or to facilitate interaction with other websites and social networks, are only set with your consent.
Configuration
Technically required
These cookies are necessary for the basic functions of the shop.
"Allow all cookies" cookie
"Decline all cookies" cookie
CSRF token
Cookie preferences
Currency change
Customer-specific caching
FACT-Finder tracking
Individual prices
Selected shop
Session
Comfort functions
These cookies are used to make the shopping experience even more appealing, for example for the recognition of the visitor.
Note
Show the facebook fanpage in the right blod sidebar
Statistics & Tracking
Affiliate program
Conversion and usertracking via Google Tag Manager
Track device being used
If you have any questions, please use our Contact Form.
You can also order by e-mail: info@biomol.com
Larger quantity required? Request bulk
You can also order by e-mail: info@biomol.com
Larger quantity required? Request bulk
CD45,also known as leukocyte common antigen (LCA),B220,and T200,is a 180-240 kD single chain type... more
Product information "Anti-CD45"
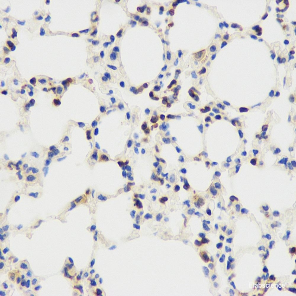
CD45,also known as leukocyte common antigen (LCA),B220,and T200,is a 180-240 kD single chain type I membrane glycoprotein. It is a tyrosine phosphatase expressed on the plasma membrane of all hematopoietic cells,except erythrocytes and platelets. CD45 is a signaling molecule that regulates a variety of cellular processes including cell growth,differentiation,cell cycle,and oncogenic transformation. CD45 is one of the best negative selection markers for characterizing and/or isolating human mesenchymal stem cells from bone marrow and other sources. Along with the positive selection markers (such as CD29,CD44,CD90,CD105 and CD166),negative selection markers (such as CD34 and CD45) are used for MSC identification. Protein function: Protein tyrosine-protein phosphatase required for T-cell activation through the antigen receptor. Acts as a positive regulator of T-cell coactivation upon binding to DPP4. The first PTPase domain has enzymatic activity, while the second one seems to affect the substrate specificity of the first one. Upon T-cell activation, recruits and dephosphorylates SKAP1 and FYN. Dephosphorylates LYN, and thereby modulates LYN activity. [The UniProt Consortium]
| Keywords: | Anti-Ly-5, Anti-L-CA, Anti-CD45, Anti-T200, EC=3.1.3.48, Anti-Lymphocyte antigen 5, Anti-Leukocyte common antigen, Anti-Receptor-type tyrosine-protein phosphatase C, CD45 Polyclonal Antibody |
| Supplier: | Elabscience |
| Supplier-Nr: | E-AB-70024 |
Properties
| Application: | IHC |
| Antibody Type: | Polyclonal |
| Conjugate: | No |
| Host: | Rabbit |
| Species reactivity: | mouse |
| Immunogen: | KLH conjugated Synthetic peptide corresponding to Mouse CD45 |
Database Information
| KEGG ID : | K06478 | Matching products |
| UniProt ID : | P06800 | Matching products |
| Gene ID : | GeneID 19264 | Matching products |
Handling & Safety
| Storage: | -20°C |
| Shipping: | 4°C (International: -20°C) |
Caution
Our products are for laboratory research use only: Not for administration to humans!
Our products are for laboratory research use only: Not for administration to humans!
Information about the product reference will follow.
more
You will get a certificate here
Viewed