Cookie preferences
This website uses cookies, which are necessary for the technical operation of the website and are always set. Other cookies, which increase the comfort when using this website, are used for direct advertising or to facilitate interaction with other websites and social networks, are only set with your consent.
Configuration
Technically required
These cookies are necessary for the basic functions of the shop.
"Allow all cookies" cookie
"Decline all cookies" cookie
CSRF token
Cookie preferences
Currency change
Customer-specific caching
FACT-Finder tracking
Individual prices
Selected shop
Session
Comfort functions
These cookies are used to make the shopping experience even more appealing, for example for the recognition of the visitor.
Note
Show the facebook fanpage in the right blod sidebar
Statistics & Tracking
Affiliate program
Conversion and usertracking via Google Tag Manager
Track device being used
| Item number | Size | Datasheet | Manual | SDS | Delivery time | Quantity | Price |
|---|---|---|---|---|---|---|---|
| NEO-952-MSM17-P1ABX | 100 µg | - | - |
Request delivery time estimate |
704.00€
|
If you have any questions, please use our Contact Form.
You can also order by e-mail: info@biomol.com
Larger quantity required? Request bulk
You can also order by e-mail: info@biomol.com
Larger quantity required? Request bulk
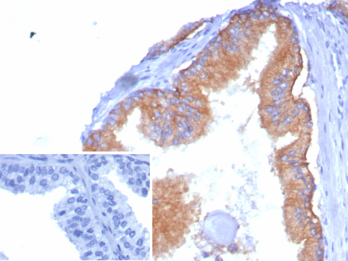
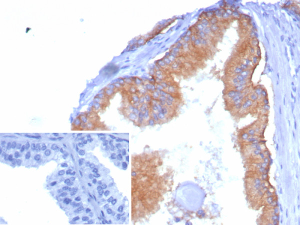
Formulation: Purified Ab WITHOUT BSA and Azide at 1.0mg/ml. Cellular Localization: Cell Surface.... more
Product information "Anti-CD38 (ADP Ribosyl Cyclase I), recombinant antibody, clone rCD38/8334"
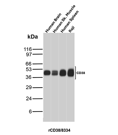
Formulation: Purified Ab WITHOUT BSA and Azide at 1.0mg/ml. Cellular Localization: Cell Surface. Cytoplasm. Positive Control: Human tonsil or spleen. Raji cells. Skeletal muscle. Brain. Chromosome Location: 4p15. Protein Function: Synthesizes cyclic ADP-ribose (cADPR), a second messenger for glucose-induced insulin secretion (PubMed:7961800, PubMed:8253715). Synthesizes the Ca(2+) mobilizer nicotinate-adenine dinucleotide phosphate, NAADP(+), from 2'-phospho-cADPR and nicotinic acid, as well as from NADP(+) and nicotinic acid. At both pH 5.0 and pH 7.4 preferentially transforms 2'-phospho-cADPR into NAADP(+), while preferentially cleaving NADP(+) to cADPR and ADPRP rather than into NADDP(+) (PubMed:16690024). Has cADPR hydrolase activity (PubMed:7961800, PubMed:8253715) [The Uniprot Consortium]
| Keywords: | Anti-T10, Anti-CD38, Anti-ADP-ribosyl cyclase 1, Anti-Cyclic ADP-ribose hydrolase 1, Anti-2'-phospho-ADP-ribosyl cyclase, Anti-2'-phospho-cyclic-ADP-ribose transferase, Anti-ADP-ribosyl cyclase/cyclic ADP-ribose hydrolase 1, Anti-2'-phospho-ADP-ribosyl cy |
| Supplier: | NeoBiotechnologies |
| Supplier-Nr: | 952-MSM17ABX |
Properties
| Application: | IHC, WB |
| Antibody Type: | Monoclonal |
| Clone: | rCD38/8334 |
| Conjugate: | No |
| Host: | Mouse |
| Species reactivity: | human |
| MW: | ~45/35 kD |
| Format: | Purified |
Database Information
| KEGG ID : | K01242 | Matching products |
| UniProt ID : | P28907 | Matching products |
| Gene ID : | GeneID 952 | Matching products |
Handling & Safety
| Storage: | -20°C |
| Shipping: | +4°C (International: +4°C) |
Caution
Our products are for laboratory research use only: Not for administration to humans!
Our products are for laboratory research use only: Not for administration to humans!
You will get a certificate here
Viewed