Cookie preferences
This website uses cookies, which are necessary for the technical operation of the website and are always set. Other cookies, which increase the comfort when using this website, are used for direct advertising or to facilitate interaction with other websites and social networks, are only set with your consent.
Configuration
Technically required
These cookies are necessary for the basic functions of the shop.
"Allow all cookies" cookie
"Decline all cookies" cookie
CSRF token
Cookie preferences
Currency change
Customer-specific caching
FACT-Finder tracking
Individual prices
Selected shop
Session
Comfort functions
These cookies are used to make the shopping experience even more appealing, for example for the recognition of the visitor.
Note
Show the facebook fanpage in the right blod sidebar
Statistics & Tracking
Affiliate program
Conversion and usertracking via Google Tag Manager
Track device being used
| Item number | Size | Datasheet | Manual | SDS | Delivery time | Quantity | Price |
|---|---|---|---|---|---|---|---|
| REV-31-1223-00-R100 | 100 µl | - | - |
3 - 9 business days* |
541.00€
|
If you have any questions, please use our Contact Form.
You can also order by e-mail: info@biomol.com
Larger quantity required? Request bulk
You can also order by e-mail: info@biomol.com
Larger quantity required? Request bulk
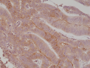
Recombinant Antibody. This antibody reacts to the cytoplasmic domain of human CD276 (B7-H3).... more
Product information "Anti-CD276 (human), Rabbit Monoclonal (RM335)"
Recombinant Antibody. This antibody reacts to the cytoplasmic domain of human CD276 (B7-H3). Applications: WB, IHC. Source: Rabbit. Liquid. 50% Glycerol/PBS with 1% BSA and 0.09% sodium azide. CD276 (B7-H3) is a member of the B7/CD28 superfamily of costimulatory molecules serving as an accessory modulator of T cell response. B7 family molecules, which are expressed on antigen-presenting cells and display extracellular regions containing immunoglobulin (Ig) variable (V)- and constant (C)-like domains, are known to modulate T cell receptor (TCR)-mediated T cell activation by providing co-signals that are either stimulatory or inhibitory. B7-H3 provides a stimulatory signal to T cells. However, recent studies suggest a negative regulatory role for B7-H3 in T cell responses. B7-H3 inhibited T cell proliferation mediated by antibody to T cell receptor or allogeneic antigen-presenting cells. B7-H3 is a negative regulator that preferentially affects T(H)1 responses. B7-H3 may play an important role in muscle-immune interactions, providing further evidence of the active role of muscle cells in local immunoregulatory processes. Recently, B7-H3 expression has also been found in a variety of different human cancers, including prostate cancer, clear cell renal cell carcinoma (ccRCC), non-small-cell lung cancer (NSCLC), pancreatic cancer, gastric cancer, ovarian cancer, colorectal cancer (CRC) and urothelial cell carcinoma. B7-H3 was expressed in some human cancers and correlated with poor outcome of cancer patients.
| Keywords: | B7-H3, B7 Homolog 3 |
| Supplier: | RevMAb Biosciences |
| Supplier-Nr: | 31-1223-00 |
Properties
| Application: | WB, IHC |
| Antibody Type: | Monoclonal |
| Clone: | RM335 |
| Conjugate: | No |
| Host: | Rabbit |
| Species reactivity: | human |
| Format: | Purified |
Database Information
| KEGG ID : | K06746 | Matching products |
| UniProt ID : | Q5ZPR3 | Matching products |
| Gene ID : | GeneID 80381 | Matching products |
Handling & Safety
| Storage: | -20°C |
| Shipping: | +4°C (International: +4°C) |
Caution
Our products are for laboratory research use only: Not for administration to humans!
Our products are for laboratory research use only: Not for administration to humans!
Information about the product reference will follow.
more
You will get a certificate here
Viewed