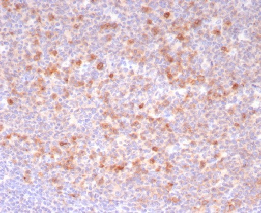
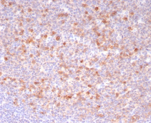
Anti-CD269 / TNFRSF17 / BCMA (B-Cell Maturation Protein), recombinant antibody, clone CD269/8190R

Item number Size Datasheet Manual SDS Delivery time Quantity Price
NEO-608-RBM8-P1ABX 100 µg - -

Request delivery time estimate

704.00€
 
Formulation: Purified Ab WITHOUT BSA and Azide at 1.0mg/ml. Cellular Localization: Cell surface.... more
Product information "Anti-CD269 / TNFRSF17 / BCMA (B-Cell Maturation Protein), recombinant antibody, clone CD269/8190R"
Formulation: Purified Ab WITHOUT BSA and Azide at 1.0mg/ml. Cellular Localization: Cell surface. Positive Control: NAMALWA cells. Tonsil or gastric carcinoma (IHC). Chromosome Location: 16p13.13. Protein Function: Receptor for TNFSF13B/BLyS/BAFF and TNFSF13/APRIL. Promotes B-cell survival and plays a role in the regulation of humoral immunity. Activates NF-kappa-B and JNK [The Uniprot Consortium]
Keywords: Anti-TNFRSF17, Anti-B-cell maturation protein, Anti-Tumor necrosis factor receptor superfamily member 17, 559
Supplier: NeoBiotechnologies
Supplier-Nr: 608-RBM8ABX

Properties

Application: ELISA, IHC
Antibody Type: Monoclonal
Clone: CD269/8190R
Conjugate: No
Host: Rabbit
Species reactivity: human
MW: 20 kD
Format: Purified

Handling & Safety

Storage: -20°C
Shipping: +4°C (International: +4°C)
Caution
Our products are for laboratory research use only: Not for administration to humans!
Information about the product reference will follow. more
You will get a certificate here
or to request a certificate of analysis.
Read, write and discuss reviews... more
Customer review for "Anti-CD269 / TNFRSF17 / BCMA (B-Cell Maturation Protein), recombinant antibody, clone CD269/8190R"
Write a review
or to review a product.
Viewed