Cookie preferences
This website uses cookies, which are necessary for the technical operation of the website and are always set. Other cookies, which increase the comfort when using this website, are used for direct advertising or to facilitate interaction with other websites and social networks, are only set with your consent.
Configuration
Technically required
These cookies are necessary for the basic functions of the shop.
"Allow all cookies" cookie
"Decline all cookies" cookie
CSRF token
Cookie preferences
Currency change
Customer-specific caching
FACT-Finder tracking
Individual prices
Selected shop
Session
Comfort functions
These cookies are used to make the shopping experience even more appealing, for example for the recognition of the visitor.
Note
Show the facebook fanpage in the right blod sidebar
Statistics & Tracking
Affiliate program
Conversion and usertracking via Google Tag Manager
Track device being used
| Item number | Size | Datasheet | Manual | SDS | Delivery time | Quantity | Price |
|---|---|---|---|---|---|---|---|
| NSJ-RQ8903 | 100 µl | - | - |
3 - 10 business days* |
790.00€
|
If you have any questions, please use our Contact Form.
You can also order by e-mail: info@biomol.com
Larger quantity required? Request bulk
You can also order by e-mail: info@biomol.com
Larger quantity required? Request bulk
Antibody in PBS with 0.02% sodium azide, 50% glycerol and 0.4-0.5mg/ml BSA. CD247 (CD3 zeta) is a... more
Product information "Anti-CD247 / CD3 zeta, clone IHI-3"
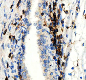
Antibody in PBS with 0.02% sodium azide, 50% glycerol and 0.4-0.5mg/ml BSA. CD247 (CD3 zeta) is a key signaling component of the T cell receptor (TCR) complex, essential for antigen recognition and T cell activation. It contains multiple immunoreceptor tyrosine-based activation motifs (ITAMs) that initiate downstream signaling cascades upon antigen engagement, leading to T cell proliferation and differentiation. CD247 is predominantly expressed in T cells and natural killer (NK) cells, where it regulates immune responses against pathogens and abnormal cells. Alterations in CD247 expression or function have been linked to immunodeficiencies, autoimmune diseases, and cancer, making it a valuable focus for immunological research. Using a high-quality CD247 antibody enables precise detection in applications such as western blot, flow cytometry, and immunohistochemistry. A CD247 antibody from NSJ Bioreagents ensures reproducibility and sensitivity for studies in T cell biology, immune signaling, and disease pathogenesis. Selecting the right CD247 antibody is essential for producing accurate and consistent research results.
| Keywords: | Anti-CD247, Anti-T-cell receptor T3 zeta chain, Anti-T-cell surface glycoprotein CD3 zeta chain, CD247 Antibody / CD3 zeta |
| Supplier: | NSJ Bioreagents |
| Supplier-Nr: | RQ8903 |
Properties
| Application: | WB, IHC (paraffin) |
| Antibody Type: | Monoclonal |
| Clone: | IHI-3 |
| Conjugate: | No |
| Host: | Rabbit |
| Species reactivity: | human |
| Immunogen: | A peptide sequence specific to CD3 zeta protein |
| Format: | Affinity Purified |
Database Information
| KEGG ID : | K06453 | Matching products |
| UniProt ID : | P20963 | Matching products |
| Gene ID : | GeneID 919 | Matching products |
Handling & Safety
| Storage: | +4°C |
| Shipping: | +4°C (International: +4°C) |
Caution
Our products are for laboratory research use only: Not for administration to humans!
Our products are for laboratory research use only: Not for administration to humans!
Information about the product reference will follow.
more
You will get a certificate here
Viewed