Cookie preferences
This website uses cookies, which are necessary for the technical operation of the website and are always set. Other cookies, which increase the comfort when using this website, are used for direct advertising or to facilitate interaction with other websites and social networks, are only set with your consent.
Configuration
Technically required
These cookies are necessary for the basic functions of the shop.
"Allow all cookies" cookie
"Decline all cookies" cookie
CSRF token
Cookie preferences
Currency change
Customer-specific caching
FACT-Finder tracking
Individual prices
Selected shop
Session
Comfort functions
These cookies are used to make the shopping experience even more appealing, for example for the recognition of the visitor.
Note
Show the facebook fanpage in the right blod sidebar
Statistics & Tracking
Affiliate program
Conversion and usertracking via Google Tag Manager
Track device being used
| Item number | Size | Datasheet | Manual | SDS | Delivery time | Quantity | Price |
|---|---|---|---|---|---|---|---|
| ARG41732.50 | 50 µg | - | - |
6 - 14 business days* |
551.00€
|
If you have any questions, please use our Contact Form.
You can also order by e-mail: info@biomol.com
Larger quantity required? Request bulk
You can also order by e-mail: info@biomol.com
Larger quantity required? Request bulk
Protein function: Mediates B-cell B-cell interactions. May be involved in the localization of... more
Product information "Anti-CD22"
Protein function: Mediates B-cell B-cell interactions. May be involved in the localization of B-cells in lymphoid tissues. Binds sialylated glycoproteins, one of which is CD45. Preferentially binds to alpha-2,6-linked sialic acid. The sialic acid recognition site can be masked by cis interactions with sialic acids on the same cell surface. Upon ligand induced tyrosine phosphorylation in the immune response seems to be involved in regulation of B-cell antigen receptor signaling. Plays a role in positive regulation through interaction with Src family tyrosine kinases and may also act as an inhibitory receptor by recruiting cytoplasmic phosphatases via their SH2 domains that block signal transduction through dephosphorylation of signaling molecules. [The UniProt Consortium]
| Keywords: | Anti-CD22, Anti-BL-CAM, Anti-SIGLEC2, Anti-Siglec-2, Anti-B-cell receptor CD22, Anti-T-cell surface antigen Leu-14, Anti-B-lymphocyte cell adhesion molecule, Anti-Sialic acid-binding Ig-like lectin 2 |
| Supplier: | Arigo Biolaboratories |
| Supplier-Nr: | ARG41732 |
Properties
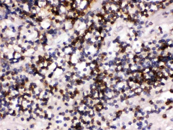
| Application: | FC, IHC (paraffin), WB |
| Antibody Type: | Polyclonal |
| Conjugate: | No |
| Host: | Rabbit |
| Species reactivity: | human, mouse, rat |
| Immunogen: | Synthetic peptide corresponding to aa. 696-724 of Human CD22. (LAILILAICGLKLQRRWKRTQSQQGLQEN) |
| MW: | 95 kD |
| Format: | Antigen Affinity Purified |
Database Information
| KEGG ID : | K06467 | Matching products |
| UniProt ID : | P20273 | Matching products |
| Gene ID : | GeneID 933 | Matching products |
Handling & Safety
| Storage: | -20°C |
| Shipping: | +4°C (International: °C) |
Caution
Our products are for laboratory research use only: Not for administration to humans!
Our products are for laboratory research use only: Not for administration to humans!
Information about the product reference will follow.
more
You will get a certificate here
Viewed