Cookie preferences
This website uses cookies, which are necessary for the technical operation of the website and are always set. Other cookies, which increase the comfort when using this website, are used for direct advertising or to facilitate interaction with other websites and social networks, are only set with your consent.
Configuration
Technically required
These cookies are necessary for the basic functions of the shop.
"Allow all cookies" cookie
"Decline all cookies" cookie
CSRF token
Cookie preferences
Currency change
Customer-specific caching
FACT-Finder tracking
Individual prices
Selected shop
Session
Comfort functions
These cookies are used to make the shopping experience even more appealing, for example for the recognition of the visitor.
Note
Show the facebook fanpage in the right blod sidebar
Statistics & Tracking
Affiliate program
Conversion and usertracking via Google Tag Manager
Track device being used
If you have any questions, please use our Contact Form.
You can also order by e-mail: info@biomol.com
Larger quantity required? Request bulk
You can also order by e-mail: info@biomol.com
Larger quantity required? Request bulk
This gene encodes a member of the immunoglobulin superfamily. The encoded protein is a... more
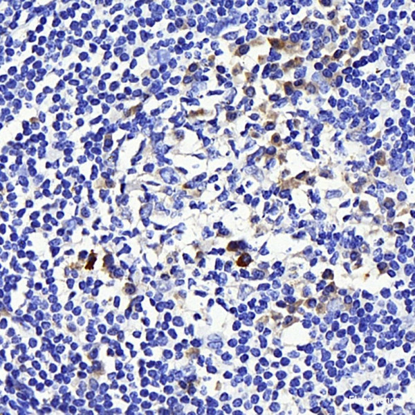
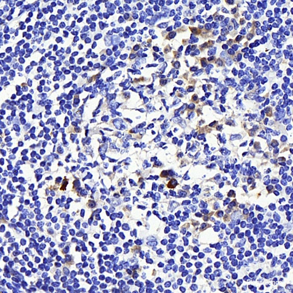
Product information "Anti-CD169"
This gene encodes a member of the immunoglobulin superfamily. The encoded protein is a lectin-like adhesion molecule that binds glycoconjugate ligands on cell surfaces in a sialic acid-dependent manner. It is a type I transmembrane protein expressed only by a subpopulation of macrophages and is involved in mediating cell-cell interactions. Alternative splicing produces a transcript variant encoding an isoform that is soluble rather than membrane-bound, however, the full-length nature of this variant has not been determined.SIGLEC1 (Sialic Acid Binding Ig Like Lectin 1) is a Protein Coding gene. Diseases associated with SIGLEC1 include Proliferative Glomerulonephritis and Diffuse Cutaneous Systemic Sclerosis. Among its related pathways are Immunoregulatory interactions between a Lymphoid and a non-Lymphoid cell and Innate Immune System. GO annotations related to this gene include carbohydrate binding. An important paralog of this gene is CD22. Protein function: Acts as an endocytic receptor mediating clathrin dependent endocytosis. Macrophage-restricted adhesion molecule that mediates sialic-acid dependent binding to lymphocytes, including granulocytes, monocytes, natural killer cells, B-cells and CD8 T-cells. Preferentially binds to alpha-2,3-linked sialic acid. Binds to SPN/CD43 on T-cells. May play a role in hemopoiesis. [The UniProt Consortium]
| Keywords: | Anti-SN, Anti-CD169, Anti-SIGLEC1, Anti-Siglec-1, Anti-Sialoadhesin, Anti-Sialic acid-binding Ig-like lectin 1, CD169 Polyclonal Antibody |
| Supplier: | Elabscience |
| Supplier-Nr: | E-AB-70160 |
Properties
| Application: | IHC |
| Antibody Type: | Polyclonal |
| Conjugate: | No |
| Host: | Rabbit |
| Species reactivity: | human, mouse, rat |
| Immunogen: | KLH conjugated Synthetic peptide corresponding to Mouse CD169 |
Database Information
| KEGG ID : | K06548 | Matching products |
| UniProt ID : | Q9BZZ2 | Matching products |
| Gene ID : | GeneID 6614 | Matching products |
Handling & Safety
| Storage: | -20°C |
| Shipping: | 4°C (International: -20°C) |
Caution
Our products are for laboratory research use only: Not for administration to humans!
Our products are for laboratory research use only: Not for administration to humans!
Information about the product reference will follow.
more
You will get a certificate here
Viewed