This website uses cookies, which are necessary for the technical operation of the website and are always set. Other cookies, which increase the comfort when using this website, are used for direct advertising or to facilitate interaction with other websites and social networks, are only set with your consent.
Configuration
Technically required
These cookies are necessary for the basic functions of the shop.
"Allow all cookies" cookie
"Decline all cookies" cookie
CSRF token
Cookie preferences
Currency change
Customer-specific caching
FACT-Finder tracking
Individual prices
Selected shop
Session
Comfort functions
These cookies are used to make the shopping experience even more appealing, for example for the recognition of the visitor.
Note
Show the facebook fanpage in the right blod sidebar
Statistics & Tracking
Affiliate program
Conversion and usertracking via Google Tag Manager
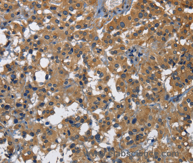
CD160 is an 27 kDa glycoprotein which was initially identified with the monoclonal antibody BY55. Its expression is tightly associated with peripheral blood NK cells and CD8 T lymphocytes with cytolytic effector activity. The cDNA sequence of CD160 predicts a cysteine-rich, glycosylphosphatidylinositol-anchored protein of 181 amino acids with a single Ig-like domain weakly homologous to KIR2DL4 molecule. CD160 is expressed at the cell surface as a tightly disulfide-linked multimer. RNA blot analysis revealed CD160 mRNAs of 1.5 and 1.6 kb whose expression was highly restricted to circulating NK and T cells, spleen and small intestine. Protein function: Receptor showing broad specificity for both classical and non-classical MHC class I molecules. [The UniProt Consortium]
This website uses cookies, which are necessary for the technical operation of the website and are always set. Other cookies, which increase the usability of this website, serve for direct advertising or simplify interaction with other websites and social networks, will only be used with your consent.
More information