Cookie preferences
This website uses cookies, which are necessary for the technical operation of the website and are always set. Other cookies, which increase the comfort when using this website, are used for direct advertising or to facilitate interaction with other websites and social networks, are only set with your consent.
Configuration
Technically required
These cookies are necessary for the basic functions of the shop.
"Allow all cookies" cookie
"Decline all cookies" cookie
CSRF token
Cookie preferences
Currency change
Customer-specific caching
FACT-Finder tracking
Individual prices
Selected shop
Session
Comfort functions
These cookies are used to make the shopping experience even more appealing, for example for the recognition of the visitor.
Note
Show the facebook fanpage in the right blod sidebar
Statistics & Tracking
Affiliate program
Conversion and usertracking via Google Tag Manager
Track device being used
| Item number | Size | Datasheet | Manual | SDS | Delivery time | Quantity | Price |
|---|---|---|---|---|---|---|---|
| NSJ-RQ7065 | 100 µg | - | - |
3 - 10 business days* |
790.00€
|
If you have any questions, please use our Contact Form.
You can also order by e-mail: info@biomol.com
Larger quantity required? Request bulk
You can also order by e-mail: info@biomol.com
Larger quantity required? Request bulk
0.5mg/ml if reconstituted with 0.2ml sterile DI water. Chemokine (C-C motif) ligand 14 (CCL14) is... more
Product information "Anti-CCL14 / C-C motif chemokine 14"
0.5mg/ml if reconstituted with 0.2ml sterile DI water. Chemokine (C-C motif) ligand 14 (CCL14) is a small cytokine belonging to the CC chemokine family. This gene, chemokine (C-C motif) ligand 14, is one of several CC cytokine genes clustered on 17q11.2. The CC cytokines are secreted proteins characterized by two adjacent cysteines. The cytokine encoded by this gene induces changes in intracellular calcium concentration and enzyme release in monocytes. Multiple transcript variants encoding different isoforms have been found for this gene. Read-through transcripts are also expressed that include exons from the upstream cytokine gene, chemokine (C-C motif) ligand 15, and are represented as GeneID: 348249. Protein function: Has weak activities on human monocytes and acts via receptors that also recognize MIP-1 alpha. It induces intracellular Ca(2+) changes and enzyme release, but no chemotaxis, at concentrations of 100-1,000 nM, and is inactive on T-lymphocytes, neutrophils, and eosinophil leukocytes. Enhances the proliferation of CD34 myeloid progenitor cells. The processed form HCC-1(9-74) is a chemotactic factor that attracts monocytes, eosinophils, and T-cells and is a ligand for CCR1, CCR3 and CCR5. [The UniProt Consortium]
| Keywords: | Anti-NCC2, Anti-CCL14, CCL14 Antibody / C-C motif chemokine 14 |
| Supplier: | NSJ Bioreagents |
| Supplier-Nr: | RQ7065 |
Properties
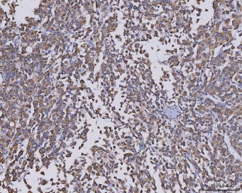
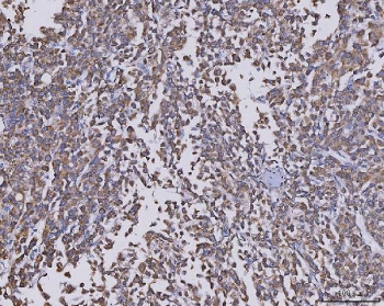
| Application: | IHC (paraffin), Direct ELISA |
| Antibody Type: | Polyclonal |
| Conjugate: | No |
| Host: | Rabbit |
| Species reactivity: | human |
| Immunogen: | Recombinant human protein (amino acids T20-N93) |
| Format: | Ligands |
Database Information
| KEGG ID : | K21092 | Matching products |
| UniProt ID : | Q16627 | Matching products |
| Gene ID : | GeneID 6358 | Matching products |
Handling & Safety
| Storage: | +4°C |
| Shipping: | +4°C (International: +4°C) |
Caution
Our products are for laboratory research use only: Not for administration to humans!
Our products are for laboratory research use only: Not for administration to humans!
Information about the product reference will follow.
more
You will get a certificate here
Viewed