Cookie preferences
This website uses cookies, which are necessary for the technical operation of the website and are always set. Other cookies, which increase the comfort when using this website, are used for direct advertising or to facilitate interaction with other websites and social networks, are only set with your consent.
Configuration
Technically required
These cookies are necessary for the basic functions of the shop.
"Allow all cookies" cookie
"Decline all cookies" cookie
CSRF token
Cookie preferences
Currency change
Customer-specific caching
FACT-Finder tracking
Individual prices
Selected shop
Session
Comfort functions
These cookies are used to make the shopping experience even more appealing, for example for the recognition of the visitor.
Note
Show the facebook fanpage in the right blod sidebar
Statistics & Tracking
Affiliate program
Conversion and usertracking via Google Tag Manager
Track device being used
| Item number | Size | Datasheet | Manual | SDS | Delivery time | Quantity | Price |
|---|---|---|---|---|---|---|---|
| NSJ-FY13246 | 100 µl | - | - |
3 - 10 business days* |
790.00€
|
If you have any questions, please use our Contact Form.
You can also order by e-mail: info@biomol.com
Larger quantity required? Request bulk
You can also order by e-mail: info@biomol.com
Larger quantity required? Request bulk
Rabbit IgG in phosphate buffered saline, pH 7.4, 150mM NaCl, 0.02% sodium azide and 50% glycerol,... more
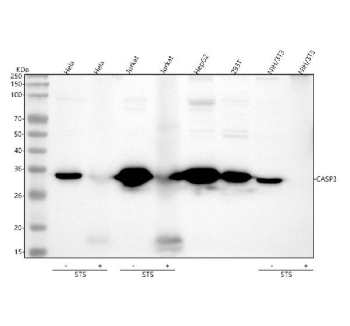
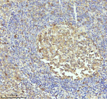
Product information "Anti-CASP3 / Caspase 3, clone 30C96"
Rabbit IgG in phosphate buffered saline, pH 7.4, 150mM NaCl, 0.02% sodium azide and 50% glycerol, 0.4-0.5mg/ml BSA. CASP3 antibody detects Caspase 3, encoded by the CASP3 gene. Caspase 3 is a cysteine aspartic protease that functions as an executioner caspase in apoptosis. Activated downstream of initiator caspases, Caspase 3 cleaves a broad spectrum of cellular substrates, leading to programmed cell death. CASP3 antibody provides researchers with an essential tool for investigating apoptosis, cancer biology, and neurodegeneration.Caspase 3 is synthesized as an inactive zymogen that undergoes proteolytic cleavage during apoptosis to generate the active enzyme. Research using CASP3 antibody has demonstrated that activated Caspase 3 cleaves structural proteins, DNA repair enzymes, and signaling molecules, dismantling cellular architecture and promoting apoptotic progression. Its activity is a hallmark of programmed cell death and is widely used as a biomarker of apoptosis in experimental systems.In cancer research, studies with CASP3 antibody have revealed that impaired Caspase 3 activation contributes to resistance to chemotherapy and radiation therapy. Tumors that downregulate or inactivate Caspase 3 evade apoptosis, enhancing survival and proliferation. Conversely, forced activation of Caspase 3 promotes cell death and tumor regression. These observations highlight Caspase 3 as a potential therapeutic target and prognostic marker in oncology.Caspase 3 also plays critical roles in neurodegeneration. Research using CASP3 antibody has shown that aberrant Caspase 3 activity contributes to neuronal loss in diseases such as Alzheimer's, Parkinson's, and Huntington's. Excessive activation promotes neuronal apoptosis, while inhibition has been explored as a neuroprotective strategy. Beyond the nervous system, Caspase 3 regulates apoptosis in immune cells, cardiac cells, and developmental processes, reflecting its broad biological importance.CASP3 antibody is widely used in western blotting, immunohistochemistry, flow cytometry, and ELISA. Western blotting distinguishes full length and cleaved forms, immunohistochemistry detects apoptotic cells in tissue, flow cytometry quantifies apoptosis in cell populations, and ELISA measures Caspase 3 activity in lysates. These applications make CASP3 antibody indispensable for apoptosis research.By supplying validated CASP3 antibody reagents, NSJ Bioreagents supports research into apoptosis, cancer, and neurodegeneration. Detection of Caspase 3 provides researchers with a reliable marker of programmed cell death and a tool for exploring therapeutic interventions.
| Keywords: | Anti-CASP3, Anti-Apopain, Anti-Caspase-3, Anti-Protein Yama, Anti-Cysteine protease CPP32, Anti-SREBP cleavage activity 1, CASP3 Antibody / Caspase 3 |
| Supplier: | NSJ Bioreagents |
| Supplier-Nr: | FY13246 |
Properties
| Application: | WB, IHC, IP |
| Antibody Type: | Monoclonal |
| Clone: | 30C96 |
| Conjugate: | No |
| Host: | Rabbit |
| Species reactivity: | human, mouse, rat |
| Immunogen: | A synthesized peptide derived from human Caspase 3 |
| Format: | Affinity Purified |
Database Information
| KEGG ID : | K02187 | Matching products |
| UniProt ID : | P42574 | Matching products |
| Gene ID : | GeneID 836 | Matching products |
Handling & Safety
| Storage: | -20°C |
| Shipping: | -20°C (International: -20°C) |
Caution
Our products are for laboratory research use only: Not for administration to humans!
Our products are for laboratory research use only: Not for administration to humans!
Information about the product reference will follow.
more
You will get a certificate here
Viewed