Cookie preferences
This website uses cookies, which are necessary for the technical operation of the website and are always set. Other cookies, which increase the comfort when using this website, are used for direct advertising or to facilitate interaction with other websites and social networks, are only set with your consent.
Configuration
Technically required
These cookies are necessary for the basic functions of the shop.
"Allow all cookies" cookie
"Decline all cookies" cookie
CSRF token
Cookie preferences
Currency change
Customer-specific caching
FACT-Finder tracking
Individual prices
Selected shop
Session
Comfort functions
These cookies are used to make the shopping experience even more appealing, for example for the recognition of the visitor.
Note
Show the facebook fanpage in the right blod sidebar
Statistics & Tracking
Affiliate program
Conversion and usertracking via Google Tag Manager
Track device being used
| Item number | Size | Datasheet | Manual | SDS | Delivery time | Quantity | Price |
|---|---|---|---|---|---|---|---|
| ARG40018.100 | 100 µl | - | - |
6 - 14 business days* |
707.00€
|
If you have any questions, please use our Contact Form.
You can also order by e-mail: info@biomol.com
Larger quantity required? Request bulk
You can also order by e-mail: info@biomol.com
Larger quantity required? Request bulk
Protein function: Performs two crucial functions during mitosis: it is essential for... more
Product information "Anti-CASC5"
Protein function: Performs two crucial functions during mitosis: it is essential for spindle-assembly checkpoint signaling and for correct chromosome alignment. Required for attachment of the kinetochores to the spindle microtubules. Directly links BUB1 and BUB1B to kinetochores. Part of the MIS12 complex, which may be fundamental for kinetochore formation and proper chromosome segregation during mitosis. Acts in coordination with CENPK to recruit the NDC80 complex to the outer kinetochore. [The UniProt Consortium]
| Keywords: | Anti-CT29, Anti-CASC5, Anti-AF15q14, Anti-Blinkin, Anti-Protein CASC5, Anti-Protein D40/AF15q14, Anti-Kinetochore scaffold 1, Anti-Cancer/testis antigen 29, Anti-Kinetochore-null protein 1, Anti-Bub-linking kinetochore protein |
| Supplier: | Arigo Biolaboratories |
| Supplier-Nr: | ARG40018 |
Properties
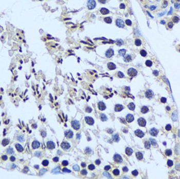
| Application: | IHC (paraffin), WB |
| Antibody Type: | Polyclonal |
| Conjugate: | No |
| Host: | Rabbit |
| Species reactivity: | human, rat |
| Immunogen: | Recombinant fusion protein corresponding to aa. 1-300 of Human CASC5 (NP_733468.3) |
| MW: | 265 kD |
| Format: | Affinity Purified |
Database Information
| KEGG ID : | K11542 | Matching products |
| UniProt ID : | Q8NG31 | Matching products |
| Gene ID : | GeneID 57082 | Matching products |
Handling & Safety
| Storage: | -20°C |
| Shipping: | +4°C (International: °C) |
Caution
Our products are for laboratory research use only: Not for administration to humans!
Our products are for laboratory research use only: Not for administration to humans!
Information about the product reference will follow.
more
You will get a certificate here
Viewed