This website uses cookies, which are necessary for the technical operation of the website and are always set. Other cookies, which increase the comfort when using this website, are used for direct advertising or to facilitate interaction with other websites and social networks, are only set with your consent.
Configuration
Technically required
These cookies are necessary for the basic functions of the shop.
"Allow all cookies" cookie
"Decline all cookies" cookie
CSRF token
Cookie preferences
Currency change
Customer-specific caching
FACT-Finder tracking
Individual prices
Selected shop
Session
Comfort functions
These cookies are used to make the shopping experience even more appealing, for example for the recognition of the visitor.
Note
Show the facebook fanpage in the right blod sidebar
Statistics & Tracking
Affiliate program
Conversion and usertracking via Google Tag Manager
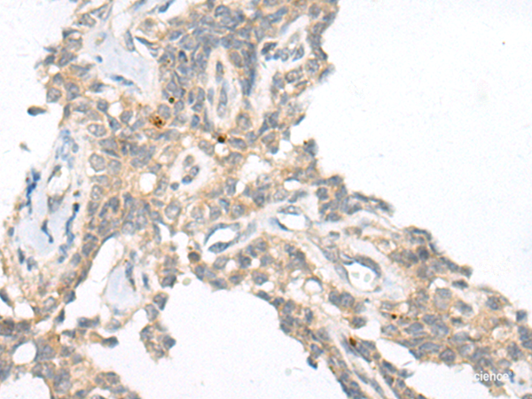
The product of this gene belongs to the serine/threonine protein kinases family, and to the Ca(2+)/calmodulin-dependent protein kinases subfamily. Calcium signaling is crucial for several aspects of plasticity at glutamatergic synapses. This calcium calmodulin-dependent protein kinase is composed of four different chains: alpha, beta, gamma, and delta. The alpha chain encoded by this gene is required for hippocampal long-term potentiation (LTP) and spatial learning. In addition to its calcium-calmodulin (CaM)-dependent activity, this protein can undergo autophosphorylation, resulting in CaM-independent activity. Two transcript variants encoding distinct isoforms have been identified for this gene. Protein function: Calcium/calmodulin-dependent protein kinase that functions autonomously after Ca(2+)/calmodulin-binding and autophosphorylation, and is involved in synaptic plasticity, neurotransmitter release and long-term potentiation. Member of the NMDAR signaling complex in excitatory synapses, it regulates NMDAR-dependent potentiation of the AMPAR and therefore excitatory synaptic transmission. Regulates dendritic spine development (PubMed:28130356). Also regulates the migration of developing neurons (PubMed:29100089). Phosphorylates the transcription factor FOXO3 to activate its transcriptional activity (PubMed:23805378). [The UniProt Consortium]
Keywords:
Anti-CAMKA, Anti-CAMK2A, Anti-CaMK-II subunit alpha, Anti-CaM kinase II subunit alpha, Anti-Calcium/calmodulin-dependent protein kinase type II subunit alpha, CAMK2A Polyclonal Antibody
This website uses cookies, which are necessary for the technical operation of the website and are always set. Other cookies, which increase the usability of this website, serve for direct advertising or simplify interaction with other websites and social networks, will only be used with your consent.
More information