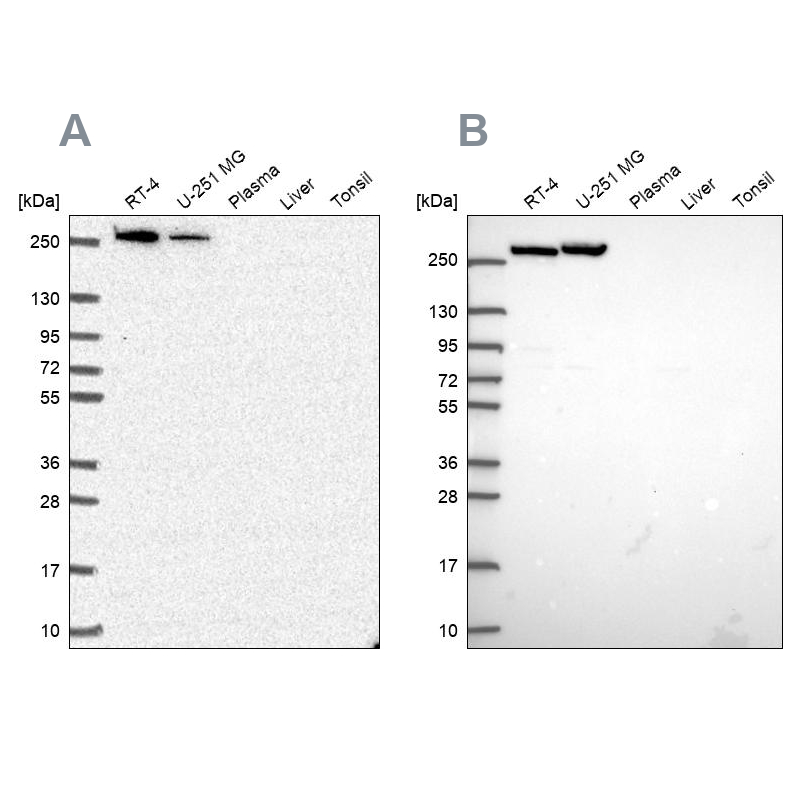
Anti-CAD

Item number Size Datasheet Manual SDS Delivery time Quantity Price
ATA-HPA057266.25 25 µl -

7 - 10 business days*

330.00€
ATA-HPA057266.100 100 µl -

7 - 10 business days*

463.00€
 
Protein function: This protein is a 'fusion' protein encoding four enzymatic activities of the... more
Product information "Anti-CAD"
Protein function: This protein is a 'fusion' protein encoding four enzymatic activities of the pyrimidine pathway (GATase, CPSase, ATCase and DHOase). [The UniProt Consortium] Buffer: 40% glycerol and PBS (pH 7.2). 0.02% sodium azide is added as preservative.
Keywords: Anti-CAD protein, Anti-Dihydroorotase, Anti-Aspartate carbamoyltransferase, Anti-Glutamine-dependent carbamoyl-phosphate synthase
Supplier: Atlas Antibodies
Supplier-Nr: HPA057266

Properties

Application: ICC, WB
Antibody Type: Polyclonal
Conjugate: No
Host: Rabbit
Species reactivity: human
Immunogen: Recombinant Protein Epitope Signature Tag (PrEST) antigen sequence: VLYMTRIQKE RFGSTQEYEA CFGQFILTPH IMTRAKKKMV VMHPMPRVNE ISVEVDSDPR AAYFRQAENG MYIRMALLAT VL (ATA-APrEST89802)

Database Information

KEGG ID : K11540 | Matching products
UniProt ID : P27708 | Matching products
Gene ID : GeneID 790 | Matching products
Protein Atlas Nr. : ENSG00000084774

Handling & Safety

Storage: -20°C
Shipping: +20°C (International: +20°C)
Caution
Our products are for laboratory research use only: Not for administration to humans!
You will get a certificate here
or to request a certificate of analysis.
Read, write and discuss reviews... more
Customer review for "Anti-CAD"
Write a review
or to review a product.
Viewed