This website uses cookies, which are necessary for the technical operation of the website and are always set. Other cookies, which increase the comfort when using this website, are used for direct advertising or to facilitate interaction with other websites and social networks, are only set with your consent.
Configuration
Technically required
These cookies are necessary for the basic functions of the shop.
"Allow all cookies" cookie
"Decline all cookies" cookie
CSRF token
Cookie preferences
Currency change
Customer-specific caching
FACT-Finder tracking
Individual prices
Selected shop
Session
Comfort functions
These cookies are used to make the shopping experience even more appealing, for example for the recognition of the visitor.
Note
Show the facebook fanpage in the right blod sidebar
Statistics & Tracking
Affiliate program
Conversion and usertracking via Google Tag Manager
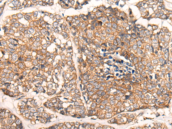
Calcium channels mediate the entry of calcium ions into the cell upon membrane polarization. This gene encodes the alpha-2/delta subunit of the voltage-dependent calcium channel complex. The complex consists of the main channel-forming subunit alpha-1, and auxiliary subunits alpha-2/delta, beta, and gamma. The auxiliary subunits function in the assembly and membrane localization of the complex, and modulate calcium currents and channel activation/inactivation kinetics. The subunit encoded by this gene undergoes post-translational cleavage to yield the extracellular alpha2 peptide and a membrane-anchored delta polypeptide. This subunit is a receptor for the antiepileptic drug, gabapentin. Mutations in this gene are associated with early infantile epileptic encephalopathy. Single nucleotide polymorphisms in this gene are correlated with increased sensitivity to opioid drugs. Alternative splicing results in multiple transcript variants encoding different isoforms. Protein function: The alpha-2/delta subunit of voltage-dependent calcium channels regulates calcium current density and activation/inactivation kinetics of the calcium channel. Acts as a regulatory subunit for P/Q- type calcium channel (CACNA1A), N-type (CACNA1B), L-type (CACNA1C OR CACNA1D) and possibly T-type (CACNA1G). Overexpression induces apoptosis. [The UniProt Consortium]
This website uses cookies, which are necessary for the technical operation of the website and are always set. Other cookies, which increase the usability of this website, serve for direct advertising or simplify interaction with other websites and social networks, will only be used with your consent.
More information