Anti-CAB39L

Item number Size Datasheet Manual SDS Delivery time Quantity Price
ATA-HPA045954.25 25 µl -

7 - 10 business days*

246.00€
ATA-HPA045954.100 100 µl -

7 - 10 business days*

491.00€
 
Protein function: Component of a complex that binds and activates STK11/LKB1. In the complex,... more
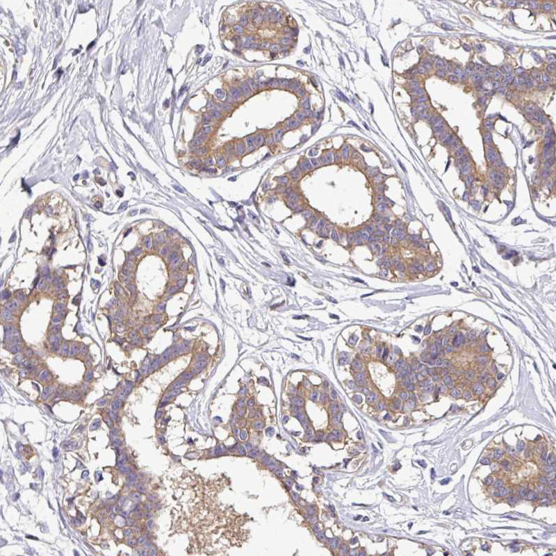
Product information "Anti-CAB39L"
Protein function: Component of a complex that binds and activates STK11/LKB1. In the complex, required to stabilize the interaction between CAB39/MO25 (CAB39/MO25alpha or CAB39L/MO25beta) and STK11/LKB1. [The UniProt Consortium] Buffer: 40% glycerol and PBS (pH 7.2). 0.02% sodium azide is added as preservative. Highest antigen sequence identity to mouse: 100% and to rat: 100%
Keywords: Anti-CAB39L, Anti-MO25beta, Anti-Antigen MLAA-34, Anti-Mo25-like protein, Anti-Calcium-binding protein 39-like
Supplier: Atlas Antibodies
Supplier-Nr: HPA045954

Properties

Application: ICC, IHC
Antibody Type: Polyclonal
Conjugate: No
Host: Rabbit
Species reactivity: human
Immunogen: Recombinant Protein Epitope Signature Tag (PrEST) antigen sequence: MPLFSKSHKN PAEIVKILKD NLAI (ATA-APrEST83317)

Database Information

KEGG ID : K08272 | Matching products
UniProt ID : Q9H9S4 | Matching products
Gene ID : GeneID 81617 | Matching products
Protein Atlas Nr. : ENSG00000102547

Handling & Safety

Storage: -20°C
Shipping: +20°C (International: +20°C)
Caution
Our products are for laboratory research use only: Not for administration to humans!
You will get a certificate here
or to request a certificate of analysis.
Read, write and discuss reviews... more
Customer review for "Anti-CAB39L"
Write a review
or to review a product.
Viewed