Cookie preferences
This website uses cookies, which are necessary for the technical operation of the website and are always set. Other cookies, which increase the comfort when using this website, are used for direct advertising or to facilitate interaction with other websites and social networks, are only set with your consent.
Configuration
Technically required
These cookies are necessary for the basic functions of the shop.
"Allow all cookies" cookie
"Decline all cookies" cookie
CSRF token
Cookie preferences
Currency change
Customer-specific caching
FACT-Finder tracking
Individual prices
Selected shop
Session
Comfort functions
These cookies are used to make the shopping experience even more appealing, for example for the recognition of the visitor.
Note
Show the facebook fanpage in the right blod sidebar
Statistics & Tracking
Affiliate program
Conversion and usertracking via Google Tag Manager
Track device being used
| Item number | Size | Datasheet | Manual | SDS | Delivery time | Quantity | Price |
|---|---|---|---|---|---|---|---|
| A304-135A-T | 10 µl (10 µg) | - |
2 - 8 business days* |
165.00€
|
|||
| A304-135A | 100 µl (100 µg) | - |
2 - 8 business days* |
586.00€
|
If you have any questions, please use our Contact Form.
You can also order by e-mail: info@biomol.com
Larger quantity required? Request bulk
You can also order by e-mail: info@biomol.com
Larger quantity required? Request bulk
c-Myb is a member of the MYB family of transcription factors. C-Myb contains three domains, an... more
Product information "Anti-c-Myb"
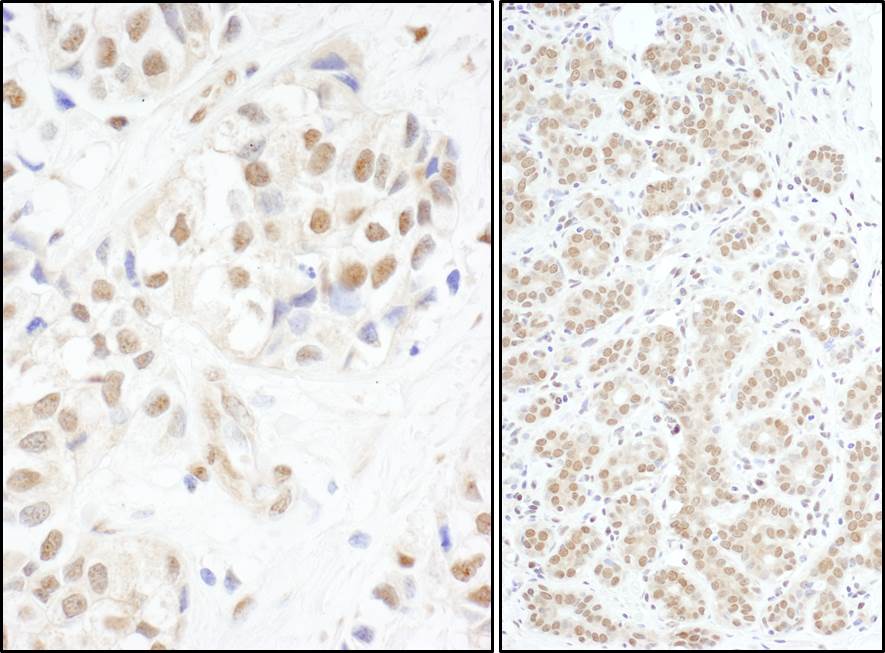
c-Myb is a member of the MYB family of transcription factors. C-Myb contains three domains, an N-terminal DNA-binding domain, a central transcriptional activation domain and a C-terminal domain involved in transcriptional repression. C-myb plays an essential role in the regulation of hematopoiesis and may play a role in tumorigenesis [taken from NCBI Entrez Gene (Gene ID: 3093)].
| Keywords: | Anti-V-myb myeloblastosis viral oncogene homolog (Avian), Anti-V-myb myeloblastosis viral oncogene homolog (Avian), isoform CRA_f, Anti-C-myb v-myb myeloblastosis viral oncogene homologue (avian), exon 1 and joined CDS |
| Supplier: | Bethyl Laboratories |
| Supplier-Nr: | A304-135A |
Properties
| Application: | WB, IP, IHC |
| Antibody Type: | Polyclonal |
| Conjugate: | No |
| Host: | Rabbit |
| Species reactivity: | human, mouse (Expected: bovine) |
| Immunogen: | synthetic peptide. The epitope recognized by A304-135A-T maps to a region between residue 1 to 50 of human V-myb Myeloblastosis Viral Oncogene Homolog using the numbering given in entry NP_005366.2 (GeneID 4602). |
| Format: | Antigen Affinity Purified |
Database Information
| KEGG ID : | K09420 | Matching products |
| UniProt ID : | Q708E9 | Matching products |
| Gene ID : | GeneID 4602 | Matching products |
Handling & Safety
| Storage: | +4°C |
| Shipping: | +4°C (International: +4°C) |
Caution
Our products are for laboratory research use only: Not for administration to humans!
Our products are for laboratory research use only: Not for administration to humans!
Information about the product reference will follow.
more
You will get a certificate here
Viewed