Anti-BRINP3

Anti-BRINP3
Item number Size Datasheet Manual SDS Delivery time Quantity Price
ATA-HPA054693.25 25 µl -

7 - 10 business days*

246.00€
ATA-HPA054693.100 100 µl -

7 - 10 business days*

491.00€
 
Protein function: Inhibits neuronal cell proliferation by negative regulation of the cell cycle... more
Product information "Anti-BRINP3"
Protein function: Inhibits neuronal cell proliferation by negative regulation of the cell cycle transition. Promotes pituitary gonadotrope cell proliferation, migration and invasion, when overexpressed. May play a role in cell pituitary tumor development. [The UniProt Consortium] Buffer: 40% glycerol and PBS (pH 7.2). 0.02% sodium azide is added as preservative. Highest antigen sequence identity to mouse: 100% and to rat: 100%
Keywords: Anti-BRINP3, Anti-DBCCR1L, Anti-DBCCR1-like protein 1, Anti-BMP/retinoic acid-inducible neural-specific protein 3
Supplier: Atlas Antibodies
Supplier-Nr: HPA054693

Properties

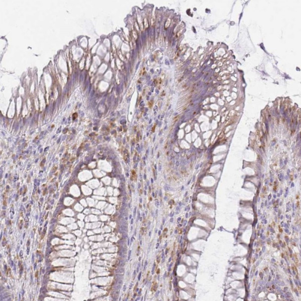
Application: IHC
Antibody Type: Polyclonal
Conjugate: No
Host: Rabbit
Species reactivity: human
Immunogen: Recombinant Protein Epitope Signature Tag (PrEST) antigen sequence: FLYCNENGLL GSFSEETHSC TCPNDQVVCT AFLPCTVGDA SACLTCAPDN RTR (ATA-APrEST83596)

Database Information

UniProt ID : Q76B58 | Matching products
Gene ID : GeneID 339479 | Matching products
Protein Atlas Nr. : ENSG00000162670

Handling & Safety

Storage: -20°C
Shipping: +20°C (International: +20°C)
Caution
Our products are for laboratory research use only: Not for administration to humans!
You will get a certificate here
or to request a certificate of analysis.
Read, write and discuss reviews... more
Customer review for "Anti-BRINP3"
Write a review
or to review a product.
Viewed