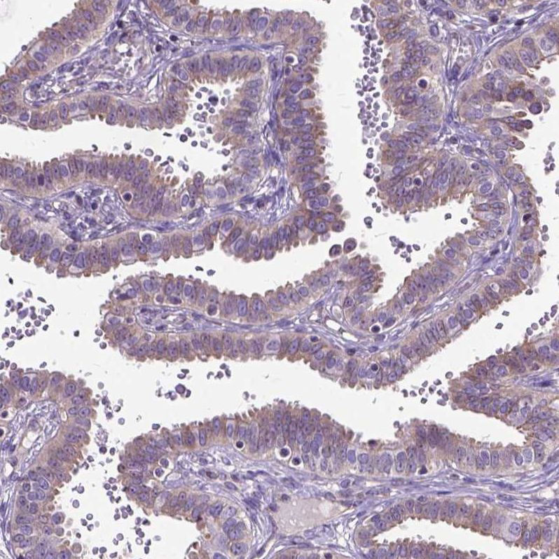
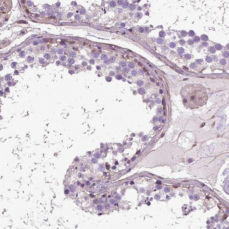
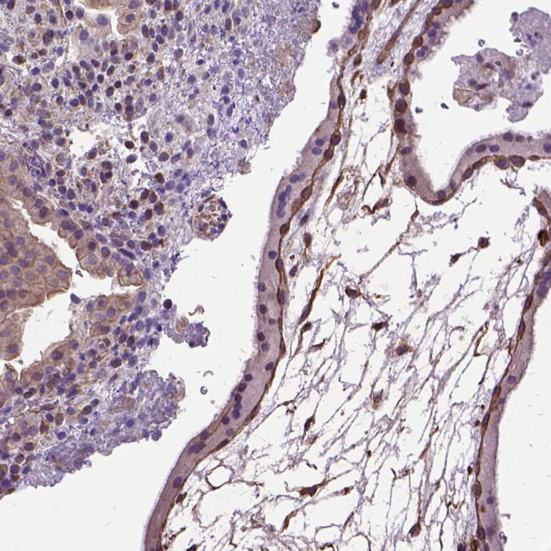
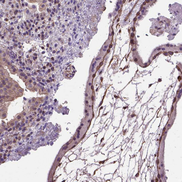
Anti-AREG

Item number Size Datasheet Manual SDS Delivery time Quantity Price
ATA-HPA008720.25 25 µl -

7 - 10 business days*

330.00€
ATA-HPA008720.100 100 µl -

7 - 10 business days*

463.00€
 
Protein function: Ligand of the EGF receptor/EGFR. Autocrine growth factor as well as a mitogen... more
Product information "Anti-AREG"
Protein function: Ligand of the EGF receptor/EGFR. Autocrine growth factor as well as a mitogen for a broad range of target cells including astrocytes, Schwann cells and fibroblasts. [The UniProt Consortium] Buffer: 40% glycerol and PBS (pH 7.2). 0.02% sodium azide is added as preservative. Highest antigen sequence identity to mouse: 73% and to rat: 73%
Keywords: Anti-AR, Anti-CRDGF, Anti-Amphiregulin, Anti-Colorectum cell-derived growth factor
Supplier: Atlas Antibodies
Supplier-Nr: HPA008720

Properties

Application: IHC
Antibody Type: Polyclonal
Conjugate: No
Host: Rabbit
Species reactivity: human
Immunogen: Recombinant Protein Epitope Signature Tag (PrEST) antigen sequence: FSGDHSADGF EVTSRSEMSS GSEISPVSEM PSSSEPSSGA DYDYSEEYDN EPQIPGYIVD DSVRVEQVVK PPQNKTESEN TSDKPKRKKK GGKNGKNRRN RKKKNPCNAE FQNFCIHGEC KYIEHLEAVT CKCQQEYFGE RC (ATA-APrEST71143)

Database Information

KEGG ID : K09782 | Matching products
UniProt ID : P15514 | Matching products
Gene ID : GeneID 374 | Matching products
Protein Atlas Nr. : ENSG00000109321

Handling & Safety

Storage: -20°C
Shipping: +20°C (International: +20°C)
Caution
Our products are for laboratory research use only: Not for administration to humans!
You will get a certificate here
or to request a certificate of analysis.
Read, write and discuss reviews... more
Customer review for "Anti-AREG"
Write a review
or to review a product.
Viewed