Cookie preferences
This website uses cookies, which are necessary for the technical operation of the website and are always set. Other cookies, which increase the comfort when using this website, are used for direct advertising or to facilitate interaction with other websites and social networks, are only set with your consent.
Configuration
Technically required
These cookies are necessary for the basic functions of the shop.
"Allow all cookies" cookie
"Decline all cookies" cookie
CSRF token
Cookie preferences
Currency change
Customer-specific caching
FACT-Finder tracking
Individual prices
Selected shop
Session
Comfort functions
These cookies are used to make the shopping experience even more appealing, for example for the recognition of the visitor.
Note
Show the facebook fanpage in the right blod sidebar
Statistics & Tracking
Affiliate program
Conversion and usertracking via Google Tag Manager
Track device being used
| Item number | Size | Datasheet | Manual | SDS | Delivery time | Quantity | Price |
|---|---|---|---|---|---|---|---|
| NSJ-R30176 | 100 µg | - | - |
3 - 10 business days* |
790.00€
|
If you have any questions, please use our Contact Form.
You can also order by e-mail: info@biomol.com
Larger quantity required? Request bulk
You can also order by e-mail: info@biomol.com
Larger quantity required? Request bulk
0.5mg/ml if reconstituted with 0.2ml sterile DI water. Annexin V is also know as endonnexin II... more
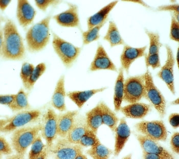
Product information "Anti-Annexin V"
0.5mg/ml if reconstituted with 0.2ml sterile DI water. Annexin V is also know as endonnexin II (ENX2),or placental protein 4 (PP4). It is a member of the family of Ca(2+)-dependent phospholipid binding proteins, known as annexins. It bind to the phospholipids that are preferentially located on the cytosolic face of the plasma membrane. Annexin V has a relative molecular weight of about 35,000. The gene lies on mouse chromosome 3 in close linkage with the fibroblast growth factor 2(basic) gene and is syntenic with other genes known to have orthologous counterparts on human chromosome 4q. The cDNA encoded a protein of 320 amino acid residues. A single mRNA, approximately 1.6 kb long, was found to be expressed in human cell lines and placenta. It is an anticoagulant protein that acts as an indirect inhibitor of the thromboplastin-specific complex, which is involved in the blood coagulation cascade. Protein function: This protein is an anticoagulant protein that acts as an indirect inhibitor of the thromboplastin-specific complex, which is involved in the blood coagulation cascade. [The UniProt Consortium]
| Keywords: | Anti-PP4, Anti-ANX5, Anti-ANXA5, Anti-PAP-I, Anti-CBP-I, Anti-Annexin V, Anti-Annexin-5, Anti-VAC-alpha, Anti-Annexin A5, Anti-Lipocortin V, Anti-Endonexin II, Anti-Anchorin CII, Anti-Calphobindin I, Anti-Thromboplastin inhibitor, Annexin V Antibody |
| Supplier: | NSJ Bioreagents |
| Supplier-Nr: | R30176 |
Properties
| Application: | WB, IHC (paraffin), ICC |
| Antibody Type: | Polyclonal |
| Conjugate: | No |
| Host: | Rabbit |
| Species reactivity: | human, mouse, rat |
| Immunogen: | Amino acids 88-102 (SRLYDAYELKHALKG-human) were used as the immunogen for this Annexin V antibody. |
| Format: | Purified |
Database Information
| KEGG ID : | K16646 | Matching products |
| UniProt ID : | P08758 | Matching products |
| Gene ID : | GeneID 308 | Matching products |
Handling & Safety
| Storage: | +4°C |
| Shipping: | +4°C (International: +4°C) |
Caution
Our products are for laboratory research use only: Not for administration to humans!
Our products are for laboratory research use only: Not for administration to humans!
Information about the product reference will follow.
more
You will get a certificate here
Viewed