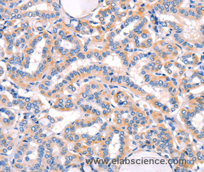
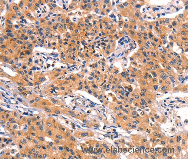
Anti-AMY2A

Item number Size Datasheet Manual SDS Delivery time Quantity Price
E-AB-10978.20 20 µl -

7 - 16 business days*

89.00€
E-AB-10978.60 60 µl -

7 - 16 business days*

174.00€
E-AB-10978.120 120 µl -

7 - 16 business days*

292.00€
E-AB-10978.200 200 µl -

7 - 16 business days*

485.00€
 
Amylases are secreted proteins that hydrolyze 1,4-alpha-glucoside bonds in oligosaccharides and... more
Product information "Anti-AMY2A"
Amylases are secreted proteins that hydrolyze 1,4-alpha-glucoside bonds in oligosaccharides and polysaccharides, and thus catalyze the first step in digestion of dietary starch and glycogen. The human genome has a cluster of several amylase genes that are expressed at high levels in either salivary gland or pancreas. This gene encodes an amylase isoenzyme produced by the pancreas.
Keywords: Anti-PA, Anti-AMY2A, Anti-Pancreatic alpha-amylase, Anti-1,4-alpha-D-glucan glucanohydrolase, AMY2A Polyclonal Antibody
Supplier: Elabscience
Supplier-Nr: E-AB-10978

Properties

Application: WB, IHC, ELISA
Antibody Type: Polyclonal
Conjugate: No
Host: Rabbit
Species reactivity: human, mouse
Immunogen: Recombinant protein of human AMY2A
Format: Purified

Handling & Safety

Storage: -20°C
Shipping: 4°C (International: -20°C)
Caution
Our products are for laboratory research use only: Not for administration to humans!
You will get a certificate here
or to request a certificate of analysis.
Read, write and discuss reviews... more
Customer review for "Anti-AMY2A"
Write a review
or to review a product.
Viewed