Cookie preferences
This website uses cookies, which are necessary for the technical operation of the website and are always set. Other cookies, which increase the comfort when using this website, are used for direct advertising or to facilitate interaction with other websites and social networks, are only set with your consent.
Configuration
Technically required
These cookies are necessary for the basic functions of the shop.
"Allow all cookies" cookie
"Decline all cookies" cookie
CSRF token
Cookie preferences
Currency change
Customer-specific caching
FACT-Finder tracking
Individual prices
Selected shop
Session
Comfort functions
These cookies are used to make the shopping experience even more appealing, for example for the recognition of the visitor.
Note
Show the facebook fanpage in the right blod sidebar
Statistics & Tracking
Affiliate program
Conversion and usertracking via Google Tag Manager
Track device being used
| Item number | Size | Datasheet | Manual | SDS | Delivery time | Quantity | Price |
|---|---|---|---|---|---|---|---|
| NSJ-RQ8953 | 100 µl | - | - |
3 - 10 business days* |
790.00€
|
If you have any questions, please use our Contact Form.
You can also order by e-mail: info@biomol.com
Larger quantity required? Request bulk
You can also order by e-mail: info@biomol.com
Larger quantity required? Request bulk
Antibody in PBS with 0.02% sodium azide, 50% glycerol and 0.4-0.5mg/ml BSA. Alpha Actin antibody... more
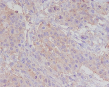
Product information "Anti-Alpha Actin / ACTA2 / Smooth Muscle Actin, clone CAD-1"
Antibody in PBS with 0.02% sodium azide, 50% glycerol and 0.4-0.5mg/ml BSA. Alpha Actin antibody is a key reagent for studying cytoskeletal dynamics, smooth muscle physiology, and tissue remodeling. The encoded protein, ACTA2 (actin alpha 2), is a smooth muscle specific isoform of actin that contributes to contraction, structure, and motility of vascular and visceral smooth muscle cells. As a fundamental component of the cytoskeleton, ACTA2 polymerizes into filaments that provide mechanical strength and coordinate intracellular signaling.Alpha actin is highly expressed in the smooth muscle layers of blood vessels, the respiratory tract, the gastrointestinal system, and reproductive organs. It also serves as a well established marker for myofibroblasts, which emerge during wound healing and fibrotic disease. Upregulation of ACTA2 in fibroblasts indicates their transition into contractile myofibroblasts, a process central to tissue repair and pathologic fibrosis. Detection with Alpha Actin antibody allows researchers to track these changes in both normal physiology and disease progression.In cardiovascular research, ACTA2 is examined as a marker of vascular smooth muscle cells and their response to injury or remodeling. Phenotypic switching of smooth muscle cells, from a contractile to a synthetic state, is associated with vascular disease such as atherosclerosis. In liver, kidney, and lung fibrosis, ACTA2 positive myofibroblasts accumulate and contribute to excessive extracellular matrix deposition. Because of this, the Alpha Actin antibody is routinely applied in histological studies of fibrotic disorders.At the molecular level, ACTA2 shares high sequence similarity with other actin isoforms but contains unique features that confer smooth muscle specific function. It interacts with actin binding proteins to regulate filament turnover, contractility, and cell migration. The strong conservation of actin family proteins ensures that Alpha Actin antibody provides reliable detection across species in research models.The Alpha Actin antibody is widely used in immunohistochemistry, immunofluorescence, western blotting, and flow cytometry. These applications enable localization and quantification of ACTA2 in tissue samples and cultured cells. For researchers focused on vascular biology, tissue fibrosis, or cytoskeletal organization, the Alpha Actin antibody is a specific and dependable detection tool. NSJ Bioreagents offers validated antibodies to ensure reproducibility and accuracy in molecular and cellular studies.
| Keywords: | Anti-ACTA2, Anti-Alpha-actin-2, Anti-Actin, aortic smooth muscle, Anti-Cell growth-inhibiting gene 46 protein, Alpha Actin Antibody / ACTA2 / Smooth Muscle Actin |
| Supplier: | NSJ Bioreagents |
| Supplier-Nr: | RQ8953 |
Properties
| Application: | WB, IHC (paraffin), IF |
| Antibody Type: | Monoclonal |
| Clone: | CAD-1 |
| Conjugate: | No |
| Host: | Rabbit |
| Species reactivity: | human, mouse, rat |
| Immunogen: | A synthetic peptide specific to human ACTA2 protein |
| Format: | Purified |
Database Information
| KEGG ID : | K12313 | Matching products |
| UniProt ID : | P62736 | Matching products |
| Gene ID : | GeneID 59 | Matching products |
Handling & Safety
| Storage: | -20°C |
| Shipping: | -20°C (International: -20°C) |
Caution
Our products are for laboratory research use only: Not for administration to humans!
Our products are for laboratory research use only: Not for administration to humans!
Information about the product reference will follow.
more
You will get a certificate here
Viewed