Cookie preferences
This website uses cookies, which are necessary for the technical operation of the website and are always set. Other cookies, which increase the comfort when using this website, are used for direct advertising or to facilitate interaction with other websites and social networks, are only set with your consent.
Configuration
Technically required
These cookies are necessary for the basic functions of the shop.
"Allow all cookies" cookie
"Decline all cookies" cookie
CSRF token
Cookie preferences
Currency change
Customer-specific caching
FACT-Finder tracking
Individual prices
Selected shop
Session
Comfort functions
These cookies are used to make the shopping experience even more appealing, for example for the recognition of the visitor.
Note
Show the facebook fanpage in the right blod sidebar
Statistics & Tracking
Affiliate program
Conversion and usertracking via Google Tag Manager
Track device being used
| Item number | Size | Datasheet | Manual | SDS | Delivery time | Quantity | Price |
|---|---|---|---|---|---|---|---|
| NEO-2-MSM15-P1ABX | 100 µg | - | - |
Request delivery time estimate |
704.00€
|
If you have any questions, please use our Contact Form.
You can also order by e-mail: info@biomol.com
Larger quantity required? Request bulk
You can also order by e-mail: info@biomol.com
Larger quantity required? Request bulk
Formulation: Purified Ab WITHOUT BSA and Azide at 1.0mg/ml. Cellular Localization: Secreted in... more
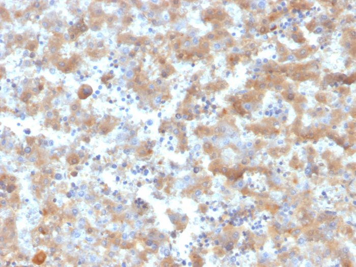
Product information "Anti-Alpha-2-Macroglobulin, clone A2M/6555"
Formulation: Purified Ab WITHOUT BSA and Azide at 1.0mg/ml. Cellular Localization: Secreted in plasma. Positive Control: Human liver or placenta tissues. Chromosome Location: 12p13.31. Protein Function: Is able to inhibit all four classes of proteinases by a unique 'trapping' mechanism. This protein has a peptide stretch, called the 'bait region' which contains specific cleavage sites for different proteinases. When a proteinase cleaves the bait region, a conformational change is induced in the protein which traps the proteinase. The entrapped enzyme remains active against low molecular weight substrates (activity against high molecular weight substrates is greatly reduced). Following cleavage in the bait region, a thioester bond is hydrolyzed and mediates the covalent binding of the protein to the proteinase [The Uniprot Consortium]
| Keywords: | Anti-A2M, Anti-Alpha-2-macroglobulin, Anti-C3 and PZP-like alpha-2-macroglobulin domain-containing protein 5, 559 |
| Supplier: | NeoBiotechnologies |
| Supplier-Nr: | 2-MSM15ABX |
Properties
| Application: | IHC |
| Antibody Type: | Monoclonal |
| Clone: | A2M/6555 |
| Conjugate: | No |
| Host: | Mouse |
| Species reactivity: | human |
| MW: | 185 kD |
| Format: | Purified |
Database Information
| KEGG ID : | K03910 | Matching products |
| UniProt ID : | P01023 | Matching products |
| Gene ID : | GeneID 2 | Matching products |
Handling & Safety
| Storage: | -20°C |
| Shipping: | +4°C (International: +4°C) |
Caution
Our products are for laboratory research use only: Not for administration to humans!
Our products are for laboratory research use only: Not for administration to humans!
You will get a certificate here
Viewed