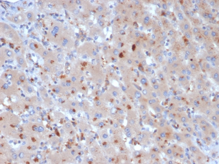
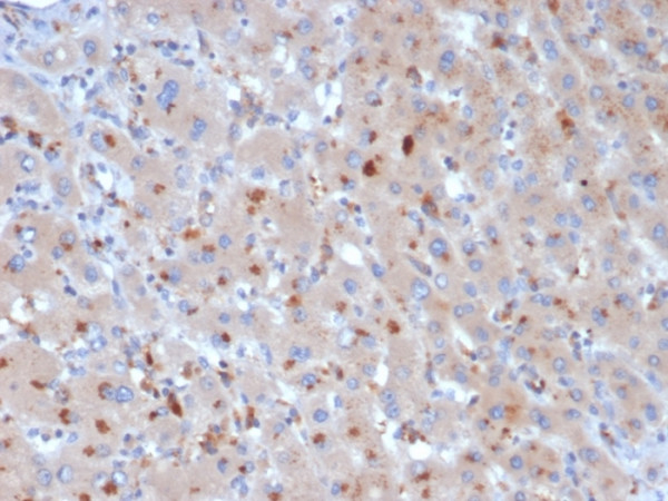
Anti-Alpha-1-Antichymotrypsin (SERPINA3) (Histiocytoma Marker), clone SERPINA3/4190

Item number Size Datasheet Manual SDS Delivery time Quantity Price
NEO-12-MSM10-P1ABX 100 µg - -

Request delivery time estimate

704.00€
 
Formulation: Purified Ab WITHOUT BSA and Azide at 1.0mg/ml. Cellular Localization: Secreted.... more
Product information "Anti-Alpha-1-Antichymotrypsin (SERPINA3) (Histiocytoma Marker), clone SERPINA3/4190"
Formulation: Purified Ab WITHOUT BSA and Azide at 1.0mg/ml. Cellular Localization: Secreted. Positive Control: HeLa cells. Human tonsil, pancreas or histiocytoma. Chromosome Location: 14q32.1. Protein Function: Although its physiological function is unclear, it can inhibit neutrophil cathepsin G and mast cell chymase, both of which can convert angiotensin-1 to the active angiotensin-2 [The Uniprot Consortium]
Keywords: Anti-SERPINA3, Anti-Serpin A3, Anti-Alpha-1-antichymotrypsin, Anti-Cell growth-inhibiting gene 24/25 protein, 559
Supplier: NeoBiotechnologies
Supplier-Nr: 12-MSM10ABX

Properties

Application: IHC
Antibody Type: Monoclonal
Clone: SERPINA3/4190
Conjugate: No
Host: Mouse
Species reactivity: human
MW: 65-76 kD
Format: Purified

Handling & Safety

Storage: -20°C
Shipping: +4°C (International: +4°C)
Caution
Our products are for laboratory research use only: Not for administration to humans!
Information about the product reference will follow. more
You will get a certificate here
or to request a certificate of analysis.
Read, write and discuss reviews... more
Customer review for "Anti-Alpha-1-Antichymotrypsin (SERPINA3) (Histiocytoma Marker), clone SERPINA3/4190"
Write a review
or to review a product.
Viewed