Cookie preferences
This website uses cookies, which are necessary for the technical operation of the website and are always set. Other cookies, which increase the comfort when using this website, are used for direct advertising or to facilitate interaction with other websites and social networks, are only set with your consent.
Configuration
Technically required
These cookies are necessary for the basic functions of the shop.
"Allow all cookies" cookie
"Decline all cookies" cookie
CSRF token
Cookie preferences
Currency change
Customer-specific caching
FACT-Finder tracking
Individual prices
Selected shop
Session
Comfort functions
These cookies are used to make the shopping experience even more appealing, for example for the recognition of the visitor.
Note
Show the facebook fanpage in the right blod sidebar
Statistics & Tracking
Affiliate program
Conversion and usertracking via Google Tag Manager
Track device being used
| Item number | Size | Datasheet | Manual | SDS | Delivery time | Quantity | Price |
|---|---|---|---|---|---|---|---|
| E-AN300174P.100 | 100 µl | - |
7 - 16 business days* |
462.00€
|
If you have any questions, please use our Contact Form.
You can also order by e-mail: info@biomol.com
Larger quantity required? Request bulk
You can also order by e-mail: info@biomol.com
Larger quantity required? Request bulk
This gene encodes a type I cell-surface receptor for the TGF-beta superfamily of ligands. It... more
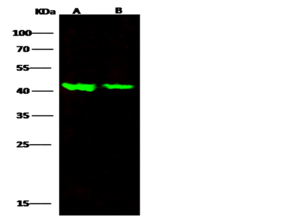
Product information "Anti-ALK-1/ACVRL1 Monoclonal Recombinant Antibody"
This gene encodes a type I cell-surface receptor for the TGF-beta superfamily of ligands. It shares with other type I receptors a high degree of similarity in serine-threonine kinase subdomains, a glycine- and serine-rich region (called the GS domain) preceding the kinase domain, and a short C-terminal tail. The encoded protein, sometimes termed ALK1, shares similar domain structures with other closely related ALK or activin receptor-like kinase proteins that form a subfamily of receptor serine/threonine kinases. Mutations in this gene are associated with hemorrhagic telangiectasia type 2, also known as Rendu-Osler-Weber syndrome 2. Protein function: Type I receptor for TGF-beta family ligands BMP9/GDF2 and BMP10 and important regulator of normal blood vessel development. On ligand binding, forms a receptor complex consisting of two type II and two type I transmembrane serine/threonine kinases. Type II receptors phosphorylate and activate type I receptors which autophosphorylate, then bind and activate SMAD transcriptional regulators. May bind activin as well. [The UniProt Consortium]
| Keywords: | SKR3, TSR-I, ALK-1, ACVRL1, ACVRLK1, EC=2.7.11.30, Activin receptor type-1-like, Activin receptor-like kinase 1, TGF-B superfamily receptor type I, Serine/threonine-protein kinase receptor R3, Recombinant ALK-1/ACVRL1 Monoclonal Antibody |
| Supplier: | Elabscience |
| Supplier-Nr: | E-AN300174P |
Properties
| Application: | WB, IP |
| Antibody Type: | Monoclonal |
| Clone: | 7B6 |
| Conjugate: | No |
| Host: | Rabbit |
| Species reactivity: | human |
| Immunogen: | Recombinant Human ALK-1 / ACVRL1 protein |
| Format: | Purified |
Database Information
| KEGG ID : | K13594 | Matching products |
| UniProt ID : | P37023 | Matching products |
| Gene ID : | GeneID 94 | Matching products |
Handling & Safety
| Storage: | +4°C (avoid repeat freezing and thawing cycles) |
| Shipping: | +4°C (International: +4°C) |
| Signal Word: | Warning |
| GHS Hazard Pictograms: |
|
| H Phrases: | H317 |
| P Phrases: | P261, P272, P280, P302+352, P333+313 |
Caution
Our products are for laboratory research use only: Not for administration to humans!
Our products are for laboratory research use only: Not for administration to humans!
Information about the product reference will follow.
more
You will get a certificate here
Viewed