Anti-Albumin (Transport Protein), recombinant antibody, clone ALB/6411R

Anti-Albumin (Transport Protein), recombinant antibody, clone ALB/6411R
Anti-Albumin (Transport Protein), recombinant antibody, clone ALB/6411R
   
NEW
Item number Size Datasheet Manual SDS Delivery time Quantity Price
NEO-213-RBM11-P0 20 µg - -

Request delivery time estimate

326.00€
NEO-213-RBM11-P1 100 µg - -

Request delivery time estimate

704.00€
 
Formulation: Purified Ab with BSA and Azide at 200ug/ml. Cellular Localization: Secreted.... more
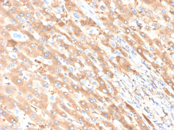
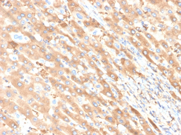
Product information "Anti-Albumin (Transport Protein), recombinant antibody, clone ALB/6411R"
Formulation: Purified Ab with BSA and Azide at 200ug/ml. Cellular Localization: Secreted. Positive Control: Human serum. Human liver or hepatocellular carcinoma. Chromosome Location: 4q13.3. Protein Function: Binds water, Ca(2+), Na(+), K(+), fatty acids, hormones, bilirubin and drugs (Probable). Its main function is the regulation of the colloidal osmotic pressure of blood (Probable). Major zinc transporter in plasma, typically binds about 80% of all plasma zinc (PubMed:19021548). Major calcium and magnesium transporter in plasma, binds approximately 45% of circulating calcium and magnesium in plasma (By similarity). Potentially has more than two calcium-binding sites and might additionally bind calcium in a non-specific manner (By similarity). The shared binding site between zinc and calcium at residue Asp-273 suggests a crosstalk between zinc and calcium transport in the blood (By similarity). The rank order of affinity is zinc > calcium > magnesium (By similarity). Binds to the bacterial siderophore enterobactin and inhibits enterobactin-mediated iron uptake of E.coli from ferric transferrin, and may thereby limit the utilization of iron and growth of enteric bacteria such as E.coli (PubMed:6234017). Does not prevent iron uptake by the bacterial siderophore aerobactin (PubMed:6234017) [The Uniprot Consortium]
Keywords: Anti-ALB, Anti-Albumin, 559
Supplier: NeoBiotechnologies
Supplier-Nr: 213-RBM11

Properties

Application: ELISA, IF, IHC, WB
Antibody Type: Monoclonal
Clone: ALB/6411R
Conjugate: No
Host: Rabbit
Species reactivity: human
MW: 66 kD
Format: Purified

Handling & Safety

Storage: +4°C
Shipping: +4°C (International: +4°C)
Caution
Our products are for laboratory research use only: Not for administration to humans!
Information about the product reference will follow. more
You will get a certificate here
or to request a certificate of analysis.
Read, write and discuss reviews... more
Customer review for "Anti-Albumin (Transport Protein), recombinant antibody, clone ALB/6411R"
Write a review
or to review a product.
Viewed