Cookie preferences
This website uses cookies, which are necessary for the technical operation of the website and are always set. Other cookies, which increase the comfort when using this website, are used for direct advertising or to facilitate interaction with other websites and social networks, are only set with your consent.
Configuration
Technically required
These cookies are necessary for the basic functions of the shop.
"Allow all cookies" cookie
"Decline all cookies" cookie
CSRF token
Cookie preferences
Currency change
Customer-specific caching
FACT-Finder tracking
Individual prices
Selected shop
Session
Comfort functions
These cookies are used to make the shopping experience even more appealing, for example for the recognition of the visitor.
Note
Show the facebook fanpage in the right blod sidebar
Statistics & Tracking
Affiliate program
Conversion and usertracking via Google Tag Manager
Track device being used
| Item number | Size | Datasheet | Manual | SDS | Delivery time | Quantity | Price |
|---|---|---|---|---|---|---|---|
| NSJ-RQ8952 | 100 µl | - | - |
3 - 10 business days* |
790.00€
|
If you have any questions, please use our Contact Form.
You can also order by e-mail: info@biomol.com
Larger quantity required? Request bulk
You can also order by e-mail: info@biomol.com
Larger quantity required? Request bulk
Antibody in PBS with 0.02% sodium azide, 50% glycerol and 0.4-0.5mg/ml BSA. ACTA2 antibody is a... more
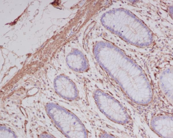
Product information "Anti-ACTA2 / Alpha Actin / Smooth Muscle Actin, clone EO-1"
Antibody in PBS with 0.02% sodium azide, 50% glycerol and 0.4-0.5mg/ml BSA. ACTA2 antibody is a widely used reagent for studying cytoskeletal organization, smooth muscle biology, and tissue remodeling. The encoded protein, alpha actin (ACTA2), is an isoform of actin expressed primarily in vascular and visceral smooth muscle. As a major component of the contractile apparatus, ACTA2 plays a central role in generating force for smooth muscle contraction and maintaining structural integrity of the cytoskeleton.Alpha actin is abundantly expressed in smooth muscle cells of the vasculature, airways, gastrointestinal tract, and reproductive system. It is also used as a marker of myofibroblast differentiation, where its upregulation reflects tissue remodeling during wound healing, fibrosis, and pathological scarring. Because of its strong and specific expression pattern, detection with ACTA2 antibody is widely applied in immunohistochemistry and immunofluorescence to identify smooth muscle or myofibroblastic cells in tissue samples.In cardiovascular research, ACTA2 is studied as a marker of vascular smooth muscle cells and their phenotypic switching. Under pathological conditions such as atherosclerosis or hypertension, ACTA2 expression can change as smooth muscle cells adopt synthetic phenotypes. In pulmonary and hepatic fibrosis, ACTA2 positive myofibroblasts contribute to extracellular matrix deposition and tissue stiffening, making ACTA2 a reliable indicator of fibrotic remodeling.Structurally, alpha actin is a globular protein that polymerizes into filamentous actin, forming part of the cytoskeleton. ACTA2 interacts with actin binding proteins to regulate filament dynamics, cell shape, and motility. Its high conservation across species ensures that ACTA2 antibody is effective in many experimental systems, including human and animal models.The ACTA2 antibody is commonly used in western blotting, immunohistochemistry, immunofluorescence, and flow cytometry. These applications enable researchers to assess expression, distribution, and structural changes of smooth muscle actin in both healthy and diseased tissues. For scientists investigating vascular biology, fibrosis, tissue remodeling, or smooth muscle physiology, the ACTA2 antibody provides a sensitive and specific detection tool. NSJ Bioreagents offers validated antibodies that ensure reproducibility and accuracy in advanced molecular studies.
| Keywords: | Anti-ACTA2, Anti-Alpha-actin-2, Anti-Actin, aortic smooth muscle, Anti-Cell growth-inhibiting gene 46 protein, ACTA2 Antibody / Alpha Actin / Smooth Muscle Actin |
| Supplier: | NSJ Bioreagents |
| Supplier-Nr: | RQ8952 |
Properties
| Application: | WB, IHC (paraffin), IF |
| Antibody Type: | Monoclonal |
| Clone: | EO-1 |
| Conjugate: | No |
| Host: | Rabbit |
| Species reactivity: | human, mouse, rat |
| Immunogen: | A synthetic peptide specific to human Smooth muscle actin |
| Format: | Purified |
Database Information
| KEGG ID : | K12313 | Matching products |
| UniProt ID : | P62736 | Matching products |
| Gene ID : | GeneID 59 | Matching products |
Handling & Safety
| Storage: | -20°C |
| Shipping: | -20°C (International: -20°C) |
Caution
Our products are for laboratory research use only: Not for administration to humans!
Our products are for laboratory research use only: Not for administration to humans!
Information about the product reference will follow.
more
You will get a certificate here
Viewed